문정동치과 이갈이 치료, 나이트가드와 보톡스(코어톡스)로 치아 마모 예방하기
안녕하세요 :)
문정동 오늘하루치과입니다.

아침에 일어났을 때
턱이 뻐근하거나 묵직한 느낌이 드신 적 있으신가요?
혹은 이유 없이
두통이 자주 생기거나,
주변에서 “이를 간다”는 이야기를 들으신 적 있다면
👉 단순한 습관이 아니라
치아와 턱관절에 부담을 주는 ‘이갈이’일 수 있습니다.
오늘은 이갈이로 인해 생기는 문제와
👉 치아를 보호하는 방법 (나이트가드 + 보톡스 치료) 에 대해 쉽게 설명드릴게요 😊

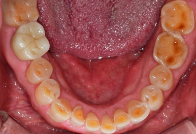
🦷 이갈이를 방치하면 생기는 문제
이갈이는 수면 중 무의식적으로
치아를 강하게 맞물리는 행동입니다.
문제는 그 힘이
👉 음식 씹는 힘보다 훨씬 강하다는 점입니다.
![]() |
![]() |
이로 인해 다음과 같은 문제가 생길 수 있습니다.
✔ 치아 마모 → 시림, 민감증 증가
✔ 치아 파절 → 금이 가거나 깨짐
✔ 보철물 손상 → 크라운, 임플란트 수명 단축
✔ 턱관절 장애 → 통증, 소리, 입 벌릴 때 불편함
👉 특히 초기에는 증상이 미미해서
많은 분들이 방치하기 쉽습니다.
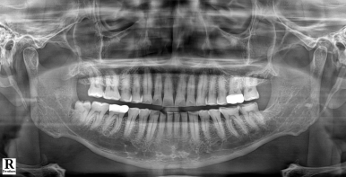
🦷 해결 방법 ① 나이트가드 (이갈이 장치)
문정동 오늘하루치과에서는
👉 디지털 맞춤형 나이트가드를 제작하고 있습니다.
![]() |
![]() |
✔ 불편함 없는 디지털 스캔
끈적한 본뜨기 재료 없이
👉 구강 스캐너로 빠르고 정확하게 촬영
✔ 개인 맞춤 설계
✔ 교합에 맞춘 1:1 제작
✔ 편안한 착용감
✔ 치아 보호 효과 극대화
👉 기성 제품과 달리
내 치아에 딱 맞게 제작되는 것이 핵심입니다.
📝 문정역 디지털 치과, 정밀한 진료를 위한 구강스캐너 이야기
문정역 디지털 치과, 정밀한 진료를 위한 구강스캐너 이야기
요즘 치과의 트렌드는 빠르게 디지털화되고 있습니다.정확하고 편리한 치료, 그리고 환자 중심의 진료 시스템을 갖춘 치과가 점점 늘어나고 있는데요. 문정역 현대지식산업센터에 위치한 오늘
smiletodaydent.tistory.com
🦷 해결 방법 ② 보톡스 치료 (코어톡스)

나이트가드가
👉 “치아를 보호하는 장치”라면
보톡스는
👉 “힘 자체를 줄이는 치료”입니다.
이갈이의 원인인
✔ 교근(씹는 근육)
✔ 측두근
의 힘을 완화하여
👉 근본적인 압력을 줄여줍니다.
✔ 코어톡스를 사용하는 이유
문정 오늘하루치과는
👉 안정성과 지속성을 고려해 코어톡스를 사용합니다.
✔ 국내 메디톡스 개발 제품
✔ 풍부한 임상 데이터
✔ 불필요 단백질 제거 → 내성 감소
✔ 반복 시술에도 안정적인 효과 유지
👉 이갈이는 한 번으로 끝나는 치료가 아니라
지속적인 관리가 중요한 치료이기 때문입니다.
🦷 의료진도 직접 사용하는 치료
이갈이 치료는
사실 저희 직원들도 많이 받고 있는 치료입니다 😊
![]() |
![]() |
✔ 실제 나이트가드 착용
✔ 정기적인 보톡스 관리을 통해
👉 직접 효과를 경험하고 있습니다
그래서 환자분들께도
더 현실적이고 진정성 있게
설명드릴 수 있습니다.
🦷 이갈이는 ‘초기 관리’가 중요합니다
이갈이는 방치할수록
👉 치아 삭제
👉 신경치료
👉 보철 치료 로 이어질 가능성이 높아집니다.
하지만 초기에 관리하면
👉 치아 손상을 충분히 예방할 수 있습니다
✔ 맞춤형 나이트가드
✔ 근육 긴장 완화 보톡스
이 두 가지를 병행하면
👉 훨씬 효과적인 관리가 가능합니다.
💬 마무리 한마디
이
갈이는 단순한 습관이 아니라
👉 치아를 서서히 망가뜨리는 힘입니다.
아침에 턱이 뻐근하거나
치아가 점점 닳는 느낌이 있다면
👉 지금이 관리 시작할 타이밍입니다.
문정동 오늘하루치과에서는
정확한 진단과 맞춤 치료로
👉 여러분의 치아를 오래 지킬 수 있도록
도와드리겠습니다 😊
궁금하신 점이 있다면
편하게 문의 주세요!
※ 주의
모든 시술은 개인 상태에 따라 부작용이 발생할 수 있으므로
반드시 의료진과 충분한 상담 후 진행하시기 바랍니다.
오늘하루치과, 당신의 치아와 시간을 아끼는 치료
안녕하세요, 문정역 현대지식산업센터 B동 2층에 위치한오늘하루치과 대표원장 오기창입니다. 저는 11년차 통합치의학과 전문의로서 여동생인 오윤미 원장과 함께 오늘하루치과를 운영하
smiletodaydent.tistory.com
오늘하루치과는 진심을 담은 편안한 진료를 약속합니다.
아프지 않은 치료, 정확하고 양심적인 치료,
무엇보다 친절한 치료로 오늘 하루
미소짓는 하루가 되도록 최선을 다하겠습니다.
원내 기공소가 있어 당일 혹은 하루만에 치료 가능하며,
월화수목 야간진료를 진행합니다.
방문 전 전화예약 (02-2008-1275) 주시거나
네이버 예약 하고 오시면
좀더 빠르게 진료 가능합니다^^
'오늘하루치과 진료' 카테고리의 다른 글
| 문정동 스케일링 잘하는 치과, 시림 걱정 줄이는 방법-미온수스케일링 (0) | 2026.03.24 |
|---|---|
| 과잉진료 없는 문정동 치과, 어떻게 가능할까요? 큐레이(Q-ray)로 충치를 직접 확인하세요 (0) | 2026.03.20 |
| 문정치과 [치아 통증 원인 알아보기 ①] 치아 신경은 왜 이렇게 아플까요? (0) | 2026.03.18 |
| 문정역치과 잇몸치료가 필요한 이유와 치료 과정 총정리! 시림·출혈 전 단계에서 알아보세요 (1) | 2025.11.20 |
| 문정동치과 임시치아 빠졌다면? 임플란트 임시보철 관리법 총정리 (0) | 2025.11.19 |





