치과 진단 장비 '큐레이(Qray)'를 통해 육안으로 보이지 않던 치아 실금과 초기 충치를 정확히 진단한 실제 사례를 소개합니다. 빠르고 정확한 보철 치료까지, 문정동 오늘하루치과에서 경험하세요.
큐레이(Qray)로 진단하는 치아 크랙과 충치
실제 환자 사례로 알아보는 문정동 오늘하루치과 진료 이야기
안녕하세요.
문정동 현대지식산업센터에 위치한 오늘하루치과 대표원장 오윤미입니다 😊

이번 포스팅은 저희 치과의 첫 진료 사례 소개입니다.
환자는 다름 아닌 치과위생사 선생님이셨고, 저희 진단 시스템의 정확도를 직접 경험하신 케이스였습니다.
📷 정밀 진단을 위한 준비 – 큐레이(Qray) 도입
오늘하루치과는 진단에 많은 공을 들였습니다.
기본적으로 포토 촬영, 파노라마 X-ray, 치근단 엑스레이, 필요시 CT 촬영까지 진행하고 있고,
특히 **큐레이(Qray)**라는 장비를 적극 활용하고 있습니다.
◈ 큐레이란?

- 405nm 파장의 푸른 가시광선을 활용
- 치태, 치석, 초기 충치(우식), 실금(크랙) 등을 색상으로 구분
- 세균 활성 부위는 붉은빛으로 표시되어 육안보다 훨씬 정밀한 진단이 가능
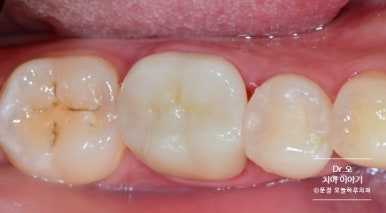
🦷 실제 사례 – 치과위생사 선생님의 치아 크랙과 초기 충치 진단
치료 전 검사 결과,
선생님의 #46번 어금니 인레이 부위에서 크랙이 관찰됐고, 인접한 #45번 치아에도 작은 충치와 실금이 보였습니다.
큐레이로 확인해 보니,
- 세균이 활발한 부위는 선명한 붉은색
- 아직 침투되지 않은 미세 실금은 붉은색이 없는 투명한 선

위 사진처럼 실금이 보여도 큐레이상에서는 붉은 빛을 띄지 않으면 아직 세균이 들어가지 않을 정도로 작은 실금이라고 진단합니다


실제 치료를 해야 할 정도의 실금은 바로 이런 케이스입니다. 푸른색 인레이 양쪽으로 붉은색 크랙 라인이 보이시나요?
📸 큐레이 덕분에 환자분께 직관적인 설명이 가능해졌고, 치료 방향 결정도 쉬워졌습니다.
🛠 치료 계획 및 과정
| #46 | 크랙 + 정출 상태 | 크라운 치료 |
| #45 | 초기 충치 + 경미한 실금 | 인레이 수복 |
치료 전



- 고해상도 구강 포토 + 엑스레이 촬영
- 큐레이 상에서 붉은 크랙 라인 확인
- 뿌리 염증 여부와 보철물 깊이까지 체크
치료 중

- 우식 완전 제거
- 구강 스캐너로 정밀 스캔 후 원내 기공실에 전송
🖥 원내 디지털 보철 제작 – 빠르고 정확하게
오늘하루치과는 자체 원내 기공 시스템을 운영 중입니다.
따라서 다음과 같은 장점이 있습니다:



- 💻 보철 디자인 실시간 확인 및 수정
- ⚙️ 밀링기 활용, 당일 또는 익일 보철 제작 가능
- ⏱ 기존 7일 → 1일로 보철 기간 대폭 단축
👩⚕️ 선생님의 경우, 오전 치료 → 오후 최종 접착까지 반나절 내 완성되었습니다.
🧩 치료 후 만족도와 결과


- 치료 전후 엑스레이에서도 경계가 매끄럽고 자연스러운 복원
- 정출되었던 치아 높이도 개선됨
- 당일 식사 가능할 정도로 불편감 없음
- 환자 만족도 👍 “하루 만에 끝나서 너무 편해요!”
🔍 마무리 – 시간을 아끼고, 치아를 아끼는 진료
큐레이 + 디지털 보철 시스템이 만들어낸 차별화된 진료

치아 실금이나 초기 충치는 육안이나 일반 엑스레이로는 놓치기 쉬운 진단입니다.
하지만 큐레이를 통해 세균 활성도를 시각적으로 확인하고, 빠른 대응이 가능해졌습니다.
특히,
- 바쁜 직장인
- 크랙 통증이 애매한 분
- 임시치아 불편을 줄이고 싶은 분
께는 큰 만족을 드릴 수 있는 시스템입니다.
치과 진단이 더는 어려운 의학 용어만 가득한 설명이 아니라,
직접 눈으로 보고 이해할 수 있는 경험이 될 수 있도록 노력하고 있습니다.
정확한 진단과 빠른 치료가 가능한 곳,
문정동 오늘하루치과에서 여러분의 자연치아를 지켜드립니다! 🦷

문정역치과 오늘하루치과는
현대지식산업센터 B 동 2층에 위치하고 있습니다.
(A동 1층에 약국이 있는데, 맞은편이 B동 입구입니다)
방문 전 전화예약 (02-2008-1275) 주시거나
네이버 예약 하고 오시면
좀더 빠르게 진료 가능합니다^^
'오늘하루치과 디지털진료' 카테고리의 다른 글
| 문정동 디지털 치과의 원데이보철, 프라임밀로 당일 치료 가능할까? (2) | 2025.07.26 |
|---|---|
| 문정역 디지털 치과, 정밀한 진료를 위한 구강스캐너 이야기 (2) | 2025.07.25 |
| 문정동 치과에서 알려주는 충치 단계별 치료법 – 자연치아를 지키는 현명한 선택 (4) | 2025.07.23 |
| "문정역 신경치료 치과에서 말하는 최소침습 신경치료, MTA 펄포토미란?" (0) | 2025.07.18 |
| 문정역 원데이 보철 치과, 지르코니아 크라운, 왜 선택할까요? "장단점 완벽 정리" (0) | 2025.07.11 |