문정동치과 재신경치료(Re-Endo)는 신경치료 후에도 통증이 지속될 때 자연치아를 살릴 수 있는 마지막 방법입니다. 실제 치료 사례를 통해 리엔도의 효과를 알려드립니다.
안녕하세요,
송파구 문정역에 위치한 오늘하루치과 대표원장 오윤미입니다.

오늘은 치과에서 종종 시행되는 **재신경치료(Re-Endo)**에 대해,
정확한 설명과 실제 치료 사례 중심으로 알려드리겠습니다.
🦷 재신경치료(Re-Endo)란?
이미 신경치료를 한 치아에서
통증, 붓기, 염증 등 문제가 다시 발생한 경우,
신경치료를 다시 시행하는 것을 **재신경치료(리엔도)**라고 합니다.
✔️ 언제 필요한가요?
- 치료받은 치아에서 염증이나 통증이 계속될 때
- 뿌리 끝 주변에 **염증 병소(동그란 그림자)**가 생긴 경우
- 신경관 내부가 불완전하게 충전된 경우
- 교합 이상, 치주염, 치아 파절 등 복합적 원인이 있는 경우
성공률은 평균 50~70% 내외로, 초기 치료보다 어렵고 정밀함이 요구됩니다.
📸 케이스 1: #37 C-shape Re-Endo
| 전 | 후 |
![]() |
![]() |
- 통증 및 치아 흔들림 호소
- C-shape 근관 구조로 난이도 높은 케이스
- 여러 차례 소독 및 MTA 실러로 근관 충전
✅ 1년 후까지 안정적인 상태 유지
📸 케이스 2: #16 4-Canal Re-Endo



✅ 치료 후 통증 사라짐
📸 케이스 3: #26 Re-Endo
| 전 | 후 |
![]() |
![]() |
- 1년간 지속된 이물감, 교합 조정에도 개선 없음
- GP Cone이 끝까지 도달하지 않아 재신경치료 시행
- 염증은 없었으나 증상 호전 목적
✅ 치료 후 통증 완화
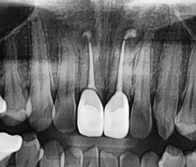
📸 케이스 4: #43 Re-Endo
![]() |
![]() |
- 잇몸에 여드름처럼 볼록한 염증이 올라옴
- 치근단 염증 및 헐거운 충전 확인
- 재신경치료로 염증 완치
![]() |
![]() |
✅ 육안으로 보이던 염증도 완전 치유
📸 케이스 5: #11, #21 앞니 Re-Endo


- 큰 염증과 통증
- 단순 재신경치료만으로는 한계가 있어
→ 치근단 수술 또는 발치+임플란트 가능성도 설명


- 반복 소독 후 염증 개선 → MTA + GP Cone 충전

✅ 크라운 재보철까지 완료
✅ 재신경치료가 어려운 이유
- 기존 재료 제거의 난이도
- 숨어 있는 신경관의 탐지
- 근관의 형태 다양성 (특히 C-shape, calcification)
하지만 정확한 진단과 반복 소독을 통해
자연치아를 최대한 보존할 수 있는 치료입니다.
💡 리엔도 치료, 이런 분께 추천드립니다
- 치아를 뽑기보단 자연치아를 최대한 살리고 싶은 분
- 기존 치료 후에도 통증/붓기/이물감이 지속되는 분
- 임플란트보다 보존적인 치료를 우선 고려하시는 분
🏥 문정 오늘하루치과는 이렇게 진료합니다
- 3D CT와 디지털 X-ray 기반 정밀 진단
- 원인 파악 → 치료 설계 → 소독 및 근관충전 → 보철까지 체계적인 플로우
- 환자분과 치료 방향을 충분히 소통한 후 결정합니다
🙋♀️ 마무리 안내
재신경치료는 시간이 오래 걸리고 내원 횟수도 많지만,
치아를 살릴 수 있는 마지막 기회가 될 수 있습니다.
고민 중이시라면 꼭 치과에서
정밀 진단과 상담을 받아보세요.
언제든 오늘하루치과가 도와드리겠습니다 😊
오늘하루치과, 당신의 치아와 시간을 아끼는 치료
안녕하세요, 문정역 현대지식산업센터 B동 2층에 위치한오늘하루치과 대표원장 오기창입니다. 저는 11년차 통합치의학과 전문의로서 여동생인 오윤미 원장과 함께 오늘하루치과를 운영하
smiletodaydent.tistory.com
오늘하루치과는 진심을 담은 편안한 진료를 약속합니다.
아프지 않은 치료, 정확하고 양심적인 치료,
무엇보다 친절한 치료로 오늘 하루
미소짓는 하루가 되도록 최선을 다하겠습니다.
원내 기공소가 있어 당일 혹은 하루만에 치료 가능하며,
월화수목 야간진료를 진행합니다.
방문 전 전화예약 (02-2008-1275) 주시거나
네이버 예약 하고 오시면
좀더 빠르게 진료 가능합니다^^
'오늘하루치과 치주치료진료' 카테고리의 다른 글
| 파크하비오치과 스케일링 후 주의사항 총정리 | 시린 치아, 식사 가능할까? (3) | 2025.08.22 |
|---|---|
| 수서역 치과 / 잇몸염증 증상별 치료법 총정리! 구내염부터 치주염까지 알아보기 (2) | 2025.08.21 |
| 문정역 치주치료, 무조건 스케일링부터? 치아 상태에 따라 달라요! (6) | 2025.07.22 |
| 문정역치과 잇몸치료 후 주의사항|시린 증상과 통증 관리 방법 총정리 (0) | 2025.07.21 |
| 문정역 치과 이야기 <스케일링은 꼭 1년에 1번만 해야 할까?> (2) | 2025.07.16 |







