문정역 치아미백 전문 치과, 착색과 변색의 차이부터 미백 치료 과정까지 쉽게 설명해드립니다. 커피, 담배로 누렇게 된 치아? 정확한 진단과 관리가 해답입니다.
🦷 문정역 치과에서 치아미백 고민 해결!
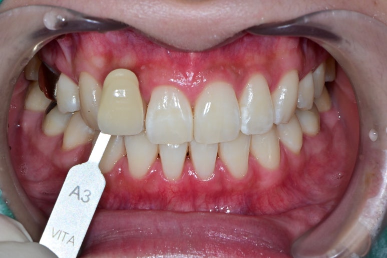
착색 vs 변색, 정확히 알아야 효과적인 치료가 가능합니다
안녕하세요.
송파구 문정역 오늘하루치과 통합치의학과 전문의 오기창 원장입니다.

“요즘 치아가 누렇게 보이는 것 같아요... 치아미백을 해야 할까요?”
많은 직장인분들이 커피, 차, 와인 등 생활 속 습관으로 인해 이런 고민을 하시곤 합니다.
하지만, 치아가 누렇게 보이는 이유는 착색인지 변색인지 먼저 정확히 아는 것이 중요합니다.
🟡 착색 vs 변색, 무엇이 다를까요?
1. 치아 착색


- 원인: 커피, 홍차, 와인, 담배 등 색소가 강한 음식이나 음료
- 특징: 치아 표면에 색소가 달라붙은 상태
- 해결법: 스케일링 + 치면세마(연마) 치료
💡 Tip: 빨대를 사용하면 착색을 어느 정도 예방할 수 있습니다.
2. 치아 변색

- 원인: 치아 내부 상아질이 진해지거나, 노화, 외상, 신경 손상
- 특징: 치아 내부 색 변화로 인해 겉에서 누렇게 보임
- 해결법: 전문적인 치과 미백 필요
💡 치아미백, 이런 분들께 추천합니다
- 면접, 결혼, 사진 촬영 등 중요한 일정이 있으신 분
- 스케일링 후에도 여전히 누런 치아가 고민이신 분
- 시중 미백제품(치약, 패치 등)으로 효과를 못 보신 분
- 흡연, 커피 등 생활 습관으로 착색된 분들
🦷 전문 치과에서 진행하는 치아미백 치료는?


💉 시술 방법
- 고농도 과산화수소 미백제(15~40%) 사용
- 잇몸 보호막 설치 후 안전하게 진행
- 일반적으로 15분 × 2세션 시술
- 치아 밝기 2~3단계 개선 기대 가능
⏱ 시술 시간
- 1회 기준 약 30~40분
- 필요 시 1주일 간격으로 1~2회 추가 시술
⚠️ 유의사항
- 일시적인 시린 증상이 생길 수 있음
- 개인차에 따라 6개월~1년 후 재시술 필요
- 임산부, 수유부, 심한 시림 증상이 있는 분은 미백 시술 권장하지 않음
📌 미백 효과를 오래 유지하려면?
❗ 미백 후 48시간 주의사항
- 커피, 홍차, 레드와인, 카레 등 착색 유발 음식 피하기
- 지나치게 산성인 음식(레몬, 식초 등) 삼가기
- 강한 칫솔질보다는 부드럽게, 꼼꼼하게 양치질
🧪 민간요법 vs 전문치료, 차이는?

레몬즙이나 바나나 껍질로 미백 효과를 본다는 정보,
실제로는 치아 법랑질 손상을 일으켜 오히려 변색을 더 빠르게 유도할 수 있습니다.
과학적으로 검증된 치료법만 선택하셔야 건강한 미소를 오래 유지할 수 있습니다.
✅ 마무리: 치아미백은 자신감의 시작입니다
치아는 자신감 있는 웃음을 만들어주는 중요한 요소입니다.
커피나 담배로 인한 변색, 노화에 따른 누런빛도
정확한 진단과 치료를 통해 밝고 깨끗하게 개선할 수 있습니다.
🎯 문정역에서 치아미백 상담을 원하시나요?
오늘하루치과에서는
- 착색/변색 감별 진단
- 개인 맞춤형 미백 프로그램
- 시술 후 관리까지
직장인을 위한 야간 진료(월~목) 도 운영 중입니다.
금요일만 야간 진료를 하지 않습니다^^
👉 바쁜 일정 중에도 편하게 방문하셔서
밝고 환한 미소, 함께 만들어보세요!
치아를 아끼는 치료, 자신감을 채우는 미소
문정역 오늘하루치과입니다 😊
오늘하루치과, 당신의 치아와 시간을 아끼는 치료
안녕하세요, 문정역 현대지식산업센터 B동 2층에 위치한오늘하루치과 대표원장 오기창입니다. 저는 11년차 통합치의학과 전문의로서 여동생인 오윤미 원장과 함께 오늘하루치과를 운영하
smiletodaydent.tistory.com
오늘하루치과는 진심을 담은 편안한 진료를 약속합니다.
아프지 않은 치료, 정확하고 양심적인 치료,
무엇보다 친절한 치료로 오늘 하루
미소짓는 하루가 되도록 최선을 다하겠습니다.
원내 기공소가 있어 당일 혹은 하루만에 치료 가능하며,
월화수목 야간진료를 진행합니다.
방문 전 전화예약 (02-2008-1275) 주시거나
네이버 예약 하고 오시면
좀더 빠르게 진료 가능합니다^^
'오늘하루치과 진료' 카테고리의 다른 글
| 문정동 치아미백 치과, 미백 후 주의사항 총정리 (전문의 설명) (0) | 2025.09.12 |
|---|---|
| 장지역치과 보철물 주의사항|레진·인레이·크라운 치료 후 관리법 총정리 (0) | 2025.09.10 |
| 문정역 치과 충치 예방, 시린치아에 딱! Clinpro Clear 불소도포 추천 (0) | 2025.09.09 |
| 문정역 치과 위생시스템, 소독·살균 어떻게 관리될까? (노바케어 살균수 도입) (4) | 2025.09.08 |
| 송파 구강검진 치과, 영유아부터 성인까지 정기검진 꼭 필요한 이유 (2) | 2025.09.07 |