씹을 때 치아가 아프신가요? 단순 피로가 아닌, 치아 내부 문제나 잇몸 염증일 수 있습니다. 문정역 인근 가락시장역 오늘하루치과에서 씹을 때 통증이 생기는 원인과 치료법을 자세히 알려드립니다.
씹을 때 치아가 아파요 😖
도대체 왜 그런 걸까요?|가락시장역치과 오늘하루치과
안녕하세요 :)
문정역 & 가락시장역 인근 오늘하루치과입니다.

진료실에서 가장 자주 듣는 질문 중 하나!
“씹을 땐 아픈데, 평소엔 괜찮아요. 왜 그런 걸까요?”
단순히 피곤하거나 일시적인 증상으로 넘기기 쉽지만,
사실은 치아 내부, 뿌리, 잇몸, 보철물 등 구조적인 문제일 수 있습니다.
오늘은 씹을 때 치아 통증이 생기는 원인 6가지와
그에 따른 대처 방법을 자세히 알려드릴게요.

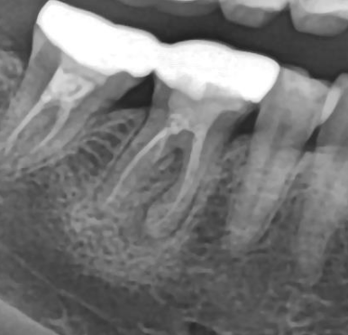
🦷 1. 치근단염 (치아 뿌리 염증)
![]() |
![]() |
- 원인: 충치, 외상 등으로 신경이 괴사된 경우
- 증상: 씹을 때 압통, 뿌리 쪽 묵직한 통증
- 치료:
- 신경치료(근관치료)
- 염증이 심하면 발치 필요
🔍 2. 치아 균열 (Cracked Tooth Syndrome)
![]() |
![]() |
![]() |
- 원인: 육안으로 잘 안 보이는 미세한 금
- 증상: 딱딱한 음식 씹을 때만 찌릿한 통증
- 진단: 큐레이(세균 감지 장비) 활용
- 치료:
- 크라운 치료
- 심한 경우 신경치료 또는 발치
🦷 3. 보철물 문제 (인레이/크라운)


- 원인: 오래된 보철물, 경계 불량, 2차 충치
- 증상: 씹을 때 자극, 안쪽 통증
- 치료:
- 보철물 제거 후 충치 확인
- 재보철 또는 신경치료
🪥 4. 잇몸질환 (치주염)
- 원인: 잇몸뼈(치조골) 손실, 염증
- 증상: 흔들림 + 씹는 통증
- 치료:
- 스케일링 & 치주치료
- 심하면 발치 필요
⚖️ 5. 교합 문제 (이가 비정상적으로 닿는 경우)
- 원인: 특정 치아에 과도한 힘 집중
- 증상: 특정 치아만 눌릴 때 통증
- 치료:
- 교합 조정
- 나이트가드 제작
- 턱 보톡스 병행 치료
💥 6. 사랑니 염증 (Pericoronitis)
- 원인: 매복된 사랑니 위 잇몸 염증
- 증상: 씹을 때 그 부위만 통증
- 치료:
- 부위 소독, 약 처방
- 필요시 발치
🩺 원인별 정리 요약
| 치근단염 | 씹을 때 묵직한 압통 | 신경치료 or 발치 |
| 치아 균열 | 딱딱한 음식에 찌릿 | 크라운, 신경치료 |
| 보철물 문제 | 보철 안쪽 자극 통증 | 재보철 or 신경치료 |
| 잇몸질환 | 흔들림 + 잇몸 압통 | 치주치료 or 발치 |
| 교합 문제 | 특정 치아에만 통증 | 교합조정, 가드 제작 |
| 사랑니 염증 | 사랑니 부위 눌림 통증 | 소독, 약물, 발치 |
❗ 이런 증상 있다면 치과 방문이 꼭 필요합니다
- 씹을 때만 아프고, 시간이 지나도 낫지 않을 때
- 예전에 치료한 보철물 주변이 다시 아플 때
- 통증 위치가 모호하고 뿌연 느낌일 때
- 음식물이 자꾸 끼는 치아에 통증이 생길 때
🦷 문정·가락시장역 오늘하루치과에서는?
✅ 큐레이 및 엑스레이로 정확한 진단
✅ 보존치료 vs 발치, 판단기준 명확히 설명
✅ 최대한 치아 보존을 원칙으로 치료
✅ 신경치료, 크라운, 치주치료 모두 당일 가능
✔️ 마무리 한마디
씹을 때만 느껴지는 통증, 단순 증상이 아닙니다.
내 치아를 살릴 수 있는 골든타임일 수 있어요.
정확한 진단 + 맞춤 치료를 통해
건강하고 오래가는 자연치아를 지켜드리겠습니다.
언제든 문정역, 가락시장역 인근
오늘하루치과에 상담 예약 주세요!
감사합니다 😊
오늘하루치과, 당신의 치아와 시간을 아끼는 치료
안녕하세요, 문정역 현대지식산업센터 B동 2층에 위치한오늘하루치과 대표원장 오기창입니다. 저는 11년차 통합치의학과 전문의로서 여동생인 오윤미 원장과 함께 오늘하루치과를 운영하
smiletodaydent.tistory.com
오늘하루치과는 진심을 담은 편안한 진료를 약속합니다.
아프지 않은 치료, 정확하고 양심적인 치료,
무엇보다 친절한 치료로 오늘 하루
미소짓는 하루가 되도록 최선을 다하겠습니다.
원내 기공소가 있어 당일 혹은 하루만에 치료 가능하며,
월화수목 야간진료를 진행합니다.
방문 전 전화예약 (02-2008-1275) 주시거나
네이버 예약 하고 오시면
좀더 빠르게 진료 가능합니다^^
'오늘하루치과 진료' 카테고리의 다른 글
| 커피, 제로음료, 무설탕껌 괜찮을까? 충치 걱정되는 당신이 꼭 알아야 할 진실! (0) | 2025.09.26 |
|---|---|
| 문정동치과 충치 생기는 이유는? 양치 열심히 해도 생기는 충치의 진짜 원인! (0) | 2025.09.25 |
| 문정동치과 | 치아 사이 음식물 끼임 원인 5가지와 해결법 총정리 (0) | 2025.09.22 |
| 문정역치과 | 치아가 시린 이유 6가지! 시린 이 원인 & 치료 총정리 (0) | 2025.09.21 |
| 문정역 치과, 치아 발치 후 통증과 식사 주의사항 총정리 (0) | 2025.09.16 |




