치아에 생긴 하얀 반점, 화이트 스팟이 신경 쓰이시나요? 장지동 근처 문정역 오늘하루치과에서는 치아를 삭제하지 않고 아이콘 레진으로 자연스럽게 개선합니다. 심미성과 보존을 동시에 만족시키는 화이트 스팟 치료, 지금 확인해보세요!
안녕하세요 :)
문정역 인근 장지동치과, 오늘하루치과입니다.
오늘은 앞니나 어금니에 생기는

**치아 하얀 반점(화이트 스팟)**에 대해 이야기해드릴게요.
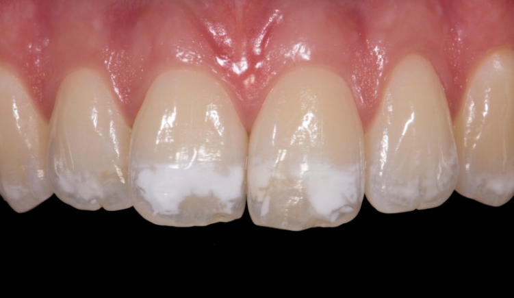
🦷 화이트 스팟(White Spot)이란?
치아 표면에 생기는 하얗고 뿌연 반점,
바로 화이트 스팟이라고 부르며,
치과에서는 “반점치”, 혹은 초기 탈회증상이라고도 합니다.
이런 반점은 다음 위치에 자주 발생합니다:
- 앞니 표면
- 어금니 씹는 면
- 교정치료 후 치아 주변
❓ 화이트 스팟, 왜 생기나요?
화이트 스팟은 여러 원인으로 생기지만,
가장 흔한 이유는 치태 속 세균 때문입니다.

- 칫솔질이 잘 되지 않아
- 치태 속 세균이 산을 만들어내고
- 이로 인해 치아 표면의 미네랄이 빠져나가며
- 치아에 미세한 구멍(다공성 구조)이 생기고
- 공기가 차면서 하얗게 보이게 되는 현상이죠.
이 과정을 **탈회(Demineralization)**라고 합니다.
🔍 화이트 스팟, 무조건 치료가 필요한 건가요?
화이트 스팟은 충치처럼 깊게 진행된 경우가 아니기에
무조건 삭제하고 레진을 넣기엔 치아가 너무 아깝습니다.
그래서 저희 문정역 오늘하루치과에서는
치아를 삭제하지 않고 치료할 수 있는 방법을 사용합니다.
✅ 치아 삭제 없는 치료, ICON 레진


ICON 레진 치료는
화이트 스팟에만 레진을 스며들게 해
자연스럽게 하얀 반점을 지워주는 방식입니다.
✔ 치아 삭제 없이!
✔ 심미성 개선!
✔ 초기 탈회 치료!
✔ 통증 거의 없음!
ICON 치료는 치아의 미세한 다공성 구조를 메워주면서
공기 대신 레진이 채워져 투명도와 색상이 균일해지는 원리입니다.
📌문정동 치과, 치아 흰색 반점 없애는 무삭제 레진침투법 치료 후기
문정동 치과, 치아 흰색 반점 없애는 무삭제 레진침투법 치료 후기
문정역 오늘하루치과의 무삭제 레진침투법(아이콘 레진)을 통해 치아 흰색 반점(화이트스팟)을 자연스럽게 제거한 케이스를 소개합니다. 시술 시간, 원리, 장점까지 자세히 확인해보세요. 문정
smiletodaydent.tistory.com
🦷 장지동 & 문정역 근처 치아 미백·심미치료 전문 치과
오늘하루치과에서는 ICON 레진 외에도
아래와 같은 보존적 심미치료를 진행하고 있습니다:
- 앞니 작은 충치 치료
- 레진 수복
- 라미네이트
- 치아미백
- 교정 후 반점치 개선
모든 치료는 삭제 최소화를 원칙으로 하며,
디지털 장비와 원내 기공소로 빠르고 정확하게 진행됩니다.
📌 마무리하며
치아의 하얀 반점이 눈에 띄고 고민되셨다면,
삭제 없이 치료할 수 있는 ICON 레진을 고려해보세요.
📍 문정역 3·4번 출구 도보 2분
📍 장지동 인근 / 법조타운 중심
📍 친절한 설명 + 통증 걱정 없는 진료
감사합니다 😊
오늘하루치과, 당신의 치아와 시간을 아끼는 치료
안녕하세요, 문정역 현대지식산업센터 B동 2층에 위치한오늘하루치과 대표원장 오기창입니다. 저는 11년차 통합치의학과 전문의로서 여동생인 오윤미 원장과 함께 오늘하루치과를 운영하
smiletodaydent.tistory.com
오늘하루치과는 진심을 담은 편안한 진료를 약속합니다.
아프지 않은 치료, 정확하고 양심적인 치료,
무엇보다 친절한 치료로 오늘 하루
미소짓는 하루가 되도록 최선을 다하겠습니다.
원내 기공소가 있어 당일 혹은 하루만에 치료 가능하며,
월화수목 야간진료를 진행합니다.
방문 전 전화예약 (02-2008-1275) 주시거나
네이버 예약 하고 오시면
좀더 빠르게 진료 가능합니다^^
'오늘하루치과 치위생사 이야기' 카테고리의 다른 글
| 문정역치과 치아 미백 후 이시림 완화, 투스무스 플러스가 답입니다! (0) | 2025.10.19 |
|---|---|
| 문정역 치과, 레진 치료 과정이 궁금하다면? (4) | 2025.08.02 |