문정역 오늘하루치과의 무삭제 레진침투법(아이콘 레진)을 통해 치아 흰색 반점(화이트스팟)을 자연스럽게 제거한 케이스를 소개합니다. 시술 시간, 원리, 장점까지 자세히 확인해보세요.
문정동 치과, 치아 흰색 반점 없애는 무삭제 레진침투법 치료 후기
안녕하세요,
문정법조타운 현대지식산업센터에 위치한
문정역 오늘하루치과 대표원장 오윤미입니다.

오늘은 심미적인 고민을 유발하는
**치아의 흰색 반점(화이트스팟)**을
삭제 없이 자연스럽게 제거한 케이스를 소개해드리겠습니다.
👉 문정 치과 치아 화이트스팟? 레진침투법으로 무삭제 자연치아 미백
👉 문정 치과 치아 화이트스팟? 레진침투법으로 무삭제 자연치아 미백
화이트스팟으로 고민이신가요? 치아를 깎지 않고 자연스럽게 개선하는 레진침투법(아이콘 치료). 문정역 오늘하루치과에서 실제 케이스와 과정을 소개합니다. 문정 치과 치아 화이트스팟? 레진
smiletodaydent.tistory.com
☑️ 치아 흰색 반점(White Spot)이란?

화이트스팟은 치아 표면에 생긴
탁한 흰색 반점으로,
법랑질이 부분적으로 탈회되면서 생기는 현상입니다.
주요 원인으로는 다음과 같습니다:
- 양치 부족 또는 불량한 구강 위생
- 산성 음료, 탄산음료 섭취
- 교정 치료 후 잔여 접착제 주변 탈회
- 치아 성장기에 형성된 내인성 반점
치아의 구조에는 큰 문제가 없지만
심미적인 불편함을 유발해
많은 분들이 제거를 원하시죠.
☑️ 치아 흰색 반점 제거 방법은?
일반적으로 치아 반점을 제거하는 방법은
아래 4가지입니다:
- 라미네이트
- 레진 충전
- 레진침투법 (무삭제 아이콘 치료)
- 투스무스 도포 치료
이 중 1, 2번은 치아를 삭제하고 새로운 재료를
붙이는 방식이고,
레진침투법은 치아를 전혀 삭제하지 않는 보존적 방법입니다.
☑️ 문정역 오늘하루치과의 무삭제 레진침투법
저희 병원에서는 독일 DMG사의
Icon (아이콘) 레진을 활용한
무삭제 레진침투 치료를 진행합니다.


✔️ 아이콘 레진의 장점
- 치아 삭제 없이 시술 가능
- 자연치아의 색과 질감 그대로 보존
- 시술 시간 단축 (약 30분 소요)
- 통증 거의 없음, 마취 불필요
☑️ 이번 케이스 설명
환자분의 **앞니 중앙(중절치)**에
선명한 화이트 스팟이 관찰되었습니다.
이 반점은 비교적 얕게 위치하고 있었으며,
시술 전 다음과 같은 과정을 거쳐 치료를 진행했습니다.
1. Etching (산처리) – 4회 반복
화이트스팟의 깊이에 따라
Etching 횟수를 결정합니다.
이번 케이스는 4회 적용하여
법랑질의 미세관을 충분히 열어주었습니다.
2. Visual Check
에칭 후, Icon Dry로 화이트스팟의
소실 여부를 사전 확인합니다.
(이 과정에서 최종 결과 예측이 가능합니다.)
3. Infiltrant 도포 및 광조사

액체 레진(Infiltrant)을 도포해
미세한 법랑질 틈 사이로 침투시킨 뒤,
빛을 이용해 경화시킵니다.
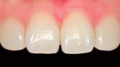
☑️ 치료 후 결과
| 전 | 후 |
![]() |
![]() |
- 눈에 띄던 흰 반점이 자연스럽게 사라졌고,
- 주변 치아와 색상과 질감이 자연스럽게 어우러졌습니다.
- 총 시술 시간은 약 30분 소요되었습니다.
치료 직후에는 잇몸이 살짝 눌린 흔적과
일시적인 탈수로 하얗게 보이는 부분이 있었지만
수 시간 내 정상으로 회복됩니다.
☑️ 결론: 치아 삭제 없이도 가능! 흰색 반점 제거는 레진침투법으로
치아를 갈지 않고도
자연스럽고 빠르게 치아 반점을 없애는 치료,
그게 바로 **레진침투법(아이콘 레진)**입니다.
- 치아 손상 없이 흰 반점을 개선하고 싶다면
- 빠른 시술과 자연스러운 결과를 원한다면

👉 문정동 오늘하루치과에서
맞춤 상담과 치료를 받아보세요.
화이트스팟이 눈에 밟혀 고민되신다면,
지금 바로 내원 또는 상담으로 예약해주세요 😊

오늘하루치과, 당신의 치아와 시간을 아끼는 치료
안녕하세요, 문정역 현대지식산업센터 B동 2층에 위치한오늘하루치과 대표원장 오기창입니다. 저는 11년차 통합치의학과 전문의로서 여동생인 오윤미 원장과 함께 오늘하루치과를 운영하
smiletodaydent.tistory.com
오늘하루치과는 진심을 담은 편안한 진료를 약속합니다.
아프지 않은 치료, 정확하고 양심적인 치료,
무엇보다 친절한 치료로 오늘 하루
미소짓는 하루가 되도록 최선을 다하겠습니다.
원내 기공소가 있어 당일 혹은 하루만에 치료 가능하며,
월화수목 야간진료를 진행합니다.
방문 전 전화예약 (02-2008-1275) 주시거나
네이버 예약 하고 오시면
좀더 빠르게 진료 가능합니다^^
'오늘하루치과 진료케이스' 카테고리의 다른 글
| 장지동 치과 인접면 충치 치료, 크라운까지 한 번에! 실제 사례 소개 (0) | 2025.09.24 |
|---|---|
| 문정역치과 큐레이 진단장비로 충치·크랙·세균 정확하게 확인하는 법 (0) | 2025.09.20 |
| 문정역 치과, 치경부 마모증 원인과 레진치료 후기 (교합 문제와의 연관) (0) | 2025.09.18 |
| 문정역치과 치아미백, 전문가 미백과정과 소요시간 총정리 (0) | 2025.09.17 |
| 씹을 때 치아 통증? 파절 치아 치료 케이스 by 가락시장역 오늘하루치과 (4) | 2025.09.15 |

