치아 옆부분이 패이셨나요? 문정동 오늘하루치과에서 치경부 마모증(Abfraction) 원인과 레진치료 과정을 소개합니다. 교합 불균형이 치아 마모에 미치는 영향도 확인해보세요.
문정역 치과, 치경부 마모증 원인과 레진치료 후기
(교합 문제와의 연관)
안녕하세요.
문정역 오늘하루치과 대표원장 오윤미입니다.

오늘은 많은 분들이 겪고 계신
치아 옆구리 패임, 치경부 마모증에 대해
실제 치료 케이스를 기반으로 설명드리려고 합니다.
☑️치경부 마모증이란? 치아 옆구리가 패이는 증상

치경부 마모증은 치아와 잇몸 경계 부위가
패이는 증상을 말하며,
특히 쐐기 모양처럼 날카롭게 패이는 경우
Abfraction으로 분류됩니다.
이번 케이스는 저희 기공실장님이
“치아 옆구리가 패였다”고 하셔서 확인하게 된 사례입니다.
☑️ 증상 관찰: 치아 마모 + 실금 + 교합 문제
환자분의 상악 제1, 2소구치 / 하악 제1소구치
모두에서 치경부 마모가 관찰되었고,

**견치(송곳니)**의 끝부분도 마모된 상태였습니다.
또한 치아 표면에는
- 마모(Attrition)
- 작은 실금(Craze line)
- 쐐기 모양 치경부 마모(Abfraction)
등이 함께 확인되었습니다.
이런 증상은 단순한 마모가 아니라
교합력(씹는 힘)의 불균형에서 비롯된 경우가 많습니다.
☑️ 치경부 마모증과 교합 문제는 어떤 관계?
교합이 틀어지면 특정 치아에
지속적인 스트레스가 가해져
치아의 경계부위가 패이게 됩니다
.
특히 이갈이, 씹는 힘 과다, 교합불균형이
치경부 마모에 영향을 주게 되며,
이 힘이 누적되면 치조골과 턱관절까지도
영향을 줄 수 있습니다.
이 환자분의 경우도
군기능 교합(Group Function) 양상이었는데,
이는 치아들이 서로 힘을 분산하며
마모를 일으키는 형태입니다.
☑️ 치료 : 레진 수복과 교합 조정
🦷 레진 수복

- 패인 치경부를 레진으로 수복
- 견치의 끝단도 레진으로 보강
🦷 교합 변경
- 기존의 군기능 교합을
- **견치유도 교합(Canine guidance)**으로 조정
→ 이는 어금니 쪽의 마모를 줄이고
교합력을 분산시키는 안정된 형태입니다.
물론 레진은 치아 자체보다 약한 재질이기 때문에
시간이 지나면 다시 군기능 교합으로 돌아갈 수도 있습니다.
하지만 교합조정을 통해
재발 가능성을 낮출 수 있습니다.
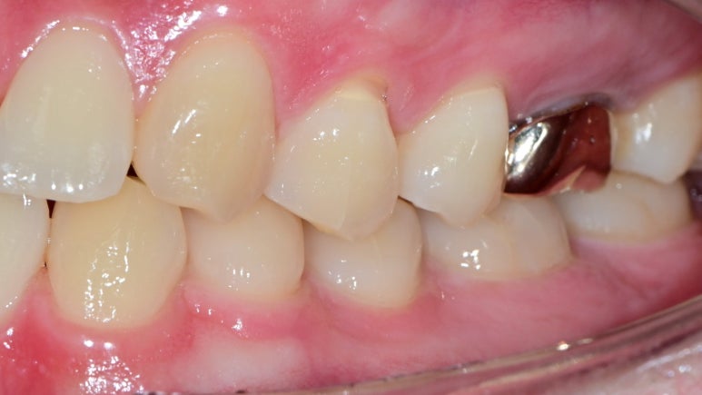
☑️치료 전후 비교
- 치료 전: 치경부 패임, 마모, 교합 불균형
- 치료 후: 레진 수복 + 교합 안정화로 기능 및 심미성 개선
| 전 | 후 |
![]() |
![]() |
한눈에 보기에도
치아 형태와 기능이 자연스럽게 회복된 모습을
확인하실 수 있습니다.
☑️ 결론: 치경부 마모, 단순한 패임이 아닙니다
치아 옆구리가 패인 증상은
단순한 마모가 아닌 구강 구조 전반의 신호일 수 있습니다.
- 교합 분석
- 마모 정도 파악
- 정밀한 레진 수복 및 보존치료
- 필요 시 교합 조정
이러한 종합적 접근이 필요합니다.

앞으로도 교합과 관련된 다양한 케이스를
꾸준히 소개해드릴 예정이니
관심 있게 지켜봐 주세요.
문정역 치경부 마모증 / 레진치료 관련 문의는
오늘하루치과로 언제든지 연락 주세요. 😊
📌 문정동 치과 치경부 마모증, 레진 치료로 해결할 수 있을까요? 치료 전후 사진으로 확인해보세요
문정동 치과 치경부 마모증, 레진 치료로 해결할 수 있을까요? 치료 전후 사진으로 확인해보세요
칫솔질할 때 시큰하고, 찬물에 시린 느낌이 있다면? 치경부 마모증일 수 있습니다. 문정동 오늘하루치과의 레진 치료 사례와 사용 재료, 치료 방식까지 자세히 안내드립니다. 안녕하세요,문정동
smiletodaydent.tistory.com
오늘하루치과, 당신의 치아와 시간을 아끼는 치료
안녕하세요, 문정역 현대지식산업센터 B동 2층에 위치한오늘하루치과 대표원장 오기창입니다. 저는 11년차 통합치의학과 전문의로서 여동생인 오윤미 원장과 함께 오늘하루치과를 운영하
smiletodaydent.tistory.com
오늘하루치과는 진심을 담은 편안한 진료를 약속합니다.
아프지 않은 치료, 정확하고 양심적인 치료,
무엇보다 친절한 치료로 오늘 하루
미소짓는 하루가 되도록 최선을 다하겠습니다.
원내 기공소가 있어 당일 혹은 하루만에 치료 가능하며,
월화수목 야간진료를 진행합니다.
방문 전 전화예약 (02-2008-1275) 주시거나
네이버 예약 하고 오시면
좀더 빠르게 진료 가능합니다^^
'오늘하루치과 진료케이스' 카테고리의 다른 글
| 문정역치과 큐레이 진단장비로 충치·크랙·세균 정확하게 확인하는 법 (0) | 2025.09.20 |
|---|---|
| 문정동 치과, 치아 흰색 반점 없애는 무삭제 레진침투법 치료 후기 (0) | 2025.09.19 |
| 문정역치과 치아미백, 전문가 미백과정과 소요시간 총정리 (0) | 2025.09.17 |
| 씹을 때 치아 통증? 파절 치아 치료 케이스 by 가락시장역 오늘하루치과 (4) | 2025.09.15 |
| 👉 문정동치과 인접면 충치? 치아 사이 우식, 원데이 인레이 치료로 빠르게 해결! (0) | 2025.09.14 |

