문정역 오늘하루치과의 전문가 치아미백! 검진부터 광조사, 사후관리까지 전 과정 소요시간과 주의사항을 자세히 안내드립니다.
문정역치과 치아미백, 전문가 미백과정과 소요시간 총정리
안녕하세요.
문정역에 위치한 오늘하루치과 대표원장 오윤미입니다.

오늘은 많은 분들이 관심 갖는 전문가 치아미백 과정과 소요시간, 그리고 주의사항에 대해 상세히 안내드리겠습니다.
문정역 오늘하루치과의 치아미백은 내부 직원들에게도 인기가 많을 정도로 만족도가 높습니다.
예전에 다른 곳에서 미백 후 시린 경험이 있었던 분들도 "여기는 시리지도 않고 미백 효과도 좋다"고 말씀해주시곤 해요!

✅ 오늘하루치과 전문가 치아미백 과정
1. 사전 검진 및 평가
- 보철물, 레진수복 여부, 치경부 마모 상태, 치석 유무 등 종합적인 검사를 진행합니다.
- 미백이 적합한지 평가하고, 필요한 경우 치경부 수복이나 스케일링 후 미백을 권장드립니다.
2. 치아 색상 측정 (쉐이드 체크)


- 미백 전 치아의 색조를 쉐이드 가이드를 통해 정확히 측정합니다.
- 이를 기준으로 미백 전/후 비교가 가능하도록 촬영합니다.
3. 치아 표면 클리닝
- 무불소 퍼미스를 활용해 치아 표면을 깨끗하게 정리합니다.
- 치아에 미백제가 균일하게 작용할 수 있도록 사전 세정은 매우 중요합니다.
4. 잇몸 보호 및 격리
- 미백제가 잇몸이나 혀에 닿지 않도록 개구기, 격리댐, 보호제 등을 사용하여 격리합니다.
5. 미백제 도포 및 광조사
- 정품 미백제 도포 후, 오스템 Vutees Light S를 이용해 광조사를 진행합니다.
- 1회당 약 20분 소요되며, 한 번 방문 시 2~3회까지 진행 가능합니다.
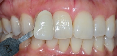
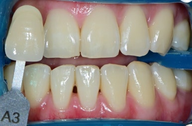
6. 미백 후 쉐이드 재평가
| 전 | 후 |
![]() |
![]() |
- 미백 효과를 육안으로 확인하고, 미백 전과 동일한 위치에서 촬영하여 비교합니다.
- 2회 진행 시 약 1시간 소요되며, 효과는 A1 이상으로 밝아지는 경우가 많습니다.
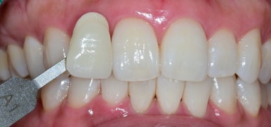
7. 진정용 영양크림 도포
| 전 | 중간(2회만 진행) | 후(3회 모두 진행) |
![]() |
![]() |
![]() |
- 치아 표면에 영양크림을 도포하여 미백 후 민감도를 낮추고, 회복을 돕습니다.
✅ 치아미백 후 주의사항
📌 문정동 치아미백 치과, 미백 후 주의사항 총정리 (전문의 설명)
문정동 치아미백 치과, 미백 후 주의사항 총정리 (전문의 설명)
치아미백 효과 오래 유지하려면? 문정역 오늘하루치과에서 알려드리는 미백치료 후 주의사항과 관리 꿀팁을 확인하세요. 민감도, 식습관, 착색음식까지 총정리! 문정동 치아미백 치과, 미백 후
smiletodaydent.tistory.com
- 미백 후 2시간은 식사 및 음료 섭취를 피해주세요.
- 색소가 강한 음식(커피, 콜라, 와인, 카레 등)과 흡연은 최소 24시간 금지합니다.
- 일시적인 흰 줄무늬나 반점이 생길 수 있으나 자연스럽게 사라집니다.
- 잇몸 탈색 현상이 일시적으로 나타날 수 있으며, 보통 12시간 이내 회복됩니다.
- 시린 증상이 1~3일 정도 나타날 수 있으며, 이 경우 너무 차거나 뜨거운 음식은 피해주세요.
- 미백 효과는 영구적이지 않기 때문에, 6개월 후 리터치를 권장드립니다.
✅ 결론
전문가 치아미백은 단순히 치아를 하얗게 만드는 것을 넘어, 자신감을 높이고 인상을 개선하는 데 큰 도움이 됩니다.
문정역 오늘하루치과에서는 환자 개개인의 상태에 맞춘 맞춤형 미백 치료를 제공하고 있으며,
치료 과정과 사후 관리까지 꼼꼼히 안내해드리고 있습니다.
치아미백을 고민하고 계신다면 지금 바로 상담받아보세요!
건강하고 환한 미소, 오늘하루치과에서 시작하세요 😊
오늘하루치과, 당신의 치아와 시간을 아끼는 치료
안녕하세요, 문정역 현대지식산업센터 B동 2층에 위치한오늘하루치과 대표원장 오기창입니다. 저는 11년차 통합치의학과 전문의로서 여동생인 오윤미 원장과 함께 오늘하루치과를 운영하
smiletodaydent.tistory.com
오늘하루치과는 진심을 담은 편안한 진료를 약속합니다.
아프지 않은 치료, 정확하고 양심적인 치료,
무엇보다 친절한 치료로 오늘 하루
미소짓는 하루가 되도록 최선을 다하겠습니다.
원내 기공소가 있어 당일 혹은 하루만에 치료 가능하며,
월화수목 야간진료를 진행합니다.
방문 전 전화예약 (02-2008-1275) 주시거나
네이버 예약 하고 오시면
좀더 빠르게 진료 가능합니다^^
'오늘하루치과 진료케이스' 카테고리의 다른 글
| 문정동 치과, 치아 흰색 반점 없애는 무삭제 레진침투법 치료 후기 (0) | 2025.09.19 |
|---|---|
| 문정역 치과, 치경부 마모증 원인과 레진치료 후기 (교합 문제와의 연관) (0) | 2025.09.18 |
| 씹을 때 치아 통증? 파절 치아 치료 케이스 by 가락시장역 오늘하루치과 (4) | 2025.09.15 |
| 👉 문정동치과 인접면 충치? 치아 사이 우식, 원데이 인레이 치료로 빠르게 해결! (0) | 2025.09.14 |
| 👉 문정 치과 치아 화이트스팟? 레진침투법으로 무삭제 자연치아 미백 (0) | 2025.09.13 |




