치아 사이에 생긴 인접면 충치는 눈에 잘 띄지 않지만 방치 시 큰 치료가 필요할 수 있습니다. 문정역 오늘하루치과에서는 당일 인레이 제작으로 빠르고 정밀하게 치료 가능합니다.
문정동치과 인접면 충치? 치아 사이 우식,
원데이 인레이 치료로 빠르게 해결!
안녕하세요.
송파구 문정역 오늘하루치과 대표원장 오윤미입니다. 😊

오늘은 환자분들이 자각하기 어려운 인접면 충치(우식) 케이스를 소개드리며,
저희 병원에서 시행한 1시간 원데이 인레이 치료 과정도 함께 보여드릴게요.
📌장지역 치과 인접면 충치, 겉으론 안 보여도 이미 진행 중일 수 있습니다
장지역 치과 인접면 충치, 겉으론 안 보여도 이미 진행 중일 수 있습니다
장지역 충치 치료, 특히 눈에 잘 띄지 않는 '인접면 우식'을 놓치지 마세요. 큐레이로 정밀하게 진단하고 인레이로 깔끔하게 복원한 실제 사례를 소개합니다. 안녕하세요,장지역·문정역 오늘하
smiletodaydent.tistory.com
☑️ 인접면 충치란?
인접면 충치란 치아와 치아 사이에 생기는 충치입니다.
겉으로 보기엔 멀쩡해 보여 자가진단이 어려우며, 정기검진 시 엑스레이로 발견되는 경우가 많습니다.

👉 통증이 없다고 방심하면
충치가 깊어져 신경치료나 크라운 치료까지 필요한 상황으로 이어질 수 있어요.
☑️ 치료 케이스 소개
💬 “전혀 불편감 없었는데…?”
이번 케이스의 환자분도 전혀 통증이나 시림 없이
정기검진차 내원하셨고, 엑스레이 검사에서 충치를 발견하게 되었습니다.



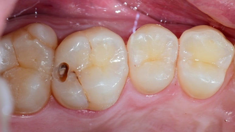
🔎 제1대구치 인접면에 충치 흔적이 관찰되었고,
구강 내에서도 미세한 거뭇거뭇한 부분이 보였습니다.
✔️ 치료 과정
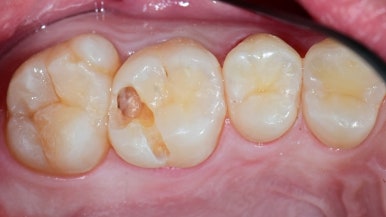
1. 마취 및 충치 제거
충치 부위를 드러내기 위해 치아 상단을 소량 삭제한 후,
부드럽고 갈색빛의 충치 조직을 제거합니다.

⚠️ 충치조직은 촉감이 단단한 치아와 다르기 때문에
미세한 손끝 감각으로 구분하며, 불필요한 삭제 없이 정밀하게 제거합니다.
2. 신경 보호 및 인레이 준비
충치가 깊은 부위에는 신경 보호제를 깔아 신경을 자극하지 않도록 하며,
최종 인레이가 들어갈 수 있도록 치아를 다듬습니다.
![]() |
![]() |
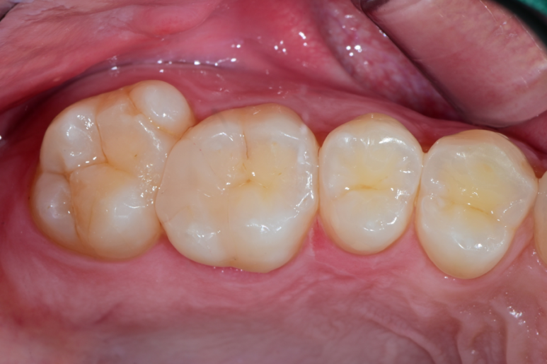
이렇게 정밀하게 형태를 준비하면
인레이가 정확하게 안착되어 수명이 길어집니다.
3. 당일 인레이 제작 및 셋팅
저희 문정 오늘하루치과는 원내 기공실을 갖추고 있어
인레이 제작까지 약 1시간 이내에 완료할 수 있습니다.

👨🔬 당일 제작된 인레이는 바로 장착되어
추가 내원 없이 치료가 끝나 환자분 만족도가 매우 높습니다!
Before & After
| 거무스름한 충치 흔적 | 충치 제거 및 형태 다듬기 | 인레이 완벽 셋팅 |
![]() |
![]() |
![]() |
🔧 빠르고 정확한 당일 치료가 가능해
바쁜 직장인, 학생 환자분들께 특히 추천드려요!
☑️ 인접면 충치, 이런 분들께 꼭 필요해요
- 통증은 없지만 정기검진을 받은 지 6개월 이상 되신 분
- 치아 사이에 음식물이 자주 끼는 분
- 칫솔질 후에도 뭔가 껄끄러운 느낌이 드는 분
- 과거 인레이 또는 레진 치료를 받은 부위가 다시 시린 분
☑️ TIP: 인접면 충치는 조기발견이 핵심입니다!
겉으로 잘 안 보여 늦게 발견하면 신경치료까지 번질 수 있어요.
정기적인 엑스레이 검진으로 조기에 발견하면
간단한 인레이 치료로 충분히 치료 가능합니다.
☑️ 문정동에서 빠르고 정확한 충치치료를 원하신다면?
저희 문정 오늘하루치과는
당일 인레이 치료, 최소 삭제 치료, 정확한 진단을 통해
바쁜 현대인을 위한 효율적인 진료를 제공하고 있습니다.
📌문정역 디지털 치과의 원데이보철, 하루 만에 끝내는 빠른 치료
문정역 디지털 치과의 원데이보철, 하루 만에 끝내는 빠른 치료
“보철 치료, 꼭 두 번이나 와야 하나요?”“임시치아가 불편해서 중요한 일정이 미뤄졌어요...” 이런 이유로 치과 치료를 자꾸 미루게 되신다면,문정역 오늘하루치과의 '원데이보철' 시스템을
smiletodaydent.tistory.com
📌문정동 치과에서 알려주는 충치 단계별 치료법 – 자연치아를 지키는 현명한 선택
문정동 치과에서 알려주는 충치 단계별 치료법 – 자연치아를 지키는 현명한 선택
초기 충치부터 심한 충치까지 단계별로 다른 치료법이 필요합니다.자연치아 보존을 최우선으로 생각하는 문정동 오늘하루치과에서 충치 치료와 예방법을 확인해보세요.◈ 문정동 치과에서 알
smiletodaydent.tistory.com
🦷 치아 사이 충치, 통증이 없다고 방치하지 마세요.
지금 검진 예약하고 건강한 치아를 지켜주세요!
감사합니다 😊
📍 문정역 4번 출구 도보 3분
📍 송파구 문정동 오늘하루치과 | 인레이 당일치료 가능
오늘하루치과, 당신의 치아와 시간을 아끼는 치료
안녕하세요, 문정역 현대지식산업센터 B동 2층에 위치한오늘하루치과 대표원장 오기창입니다. 저는 11년차 통합치의학과 전문의로서 여동생인 오윤미 원장과 함께 오늘하루치과를 운영하
smiletodaydent.tistory.com
오늘하루치과는 진심을 담은 편안한 진료를 약속합니다.
아프지 않은 치료, 정확하고 양심적인 치료,
무엇보다 친절한 치료로 오늘 하루
미소짓는 하루가 되도록 최선을 다하겠습니다.
원내 기공소가 있어 당일 혹은 하루만에 치료 가능하며,
월화수목 야간진료를 진행합니다.
방문 전 전화예약 (02-2008-1275) 주시거나
네이버 예약 하고 오시면
좀더 빠르게 진료 가능합니다^^
'오늘하루치과 진료케이스' 카테고리의 다른 글
| 문정역치과 치아미백, 전문가 미백과정과 소요시간 총정리 (0) | 2025.09.17 |
|---|---|
| 씹을 때 치아 통증? 파절 치아 치료 케이스 by 가락시장역 오늘하루치과 (4) | 2025.09.15 |
| 👉 문정 치과 치아 화이트스팟? 레진침투법으로 무삭제 자연치아 미백 (0) | 2025.09.13 |
| 장지동 라미네이트 치과, 최소삭제로 자연스럽게 개선한 실제 사례 (0) | 2025.09.05 |
| 문정역치과 무삭제 라미네이트, 왜소치 한 개만 자연스럽게 바꾸는 법 (0) | 2025.09.04 |




