씹을 때 통증이 있다면 치아 파절일 수 있습니다. 파절 치아의 진단과 치료법, 임플란트 vs 자연치 보존에 대한 실제 케이스를 가락시장역 오늘하루치과에서 알려드립니다.
씹을 때 치아 통증? 파절 치아 치료 케이스
by 가락시장역 오늘하루치과
안녕하세요.
문정역과 가락시장역 인근에서 진료하고 있는
오늘하루치과 대표원장 오윤미입니다. 😊

오늘은 많은 분들이 고민하시는 씹을 때 통증과 관련된 사례,
그리고 그 원인 중 하나인 파절 치아 치료 케이스를 소개드릴게요.
실제 내원하신 두 분의 사례를 바탕으로,
치아를 보존할 수 있을지, 혹은 임플란트가 필요한지,
그 판단과 치료과정을 구체적으로 보여드리겠습니다.
☑️ 파절 치아, 그냥 두면 안 되는 이유
치아 파절은 단순한 실금부터,
치관(머리 부분) 전체 또는 뿌리까지 치아가 쪼개지는 경우까지 다양합니다.
간혹 엑스레이상에서는 문제가 보이지 않지만,
내부 검진이나 증상 분석을 통해 정확한 진단이 필요하죠.
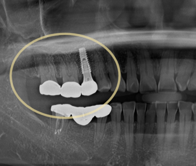
☑️케이스 1. 임플란트로 확실하게 치료한 경우
한 환자분은 단단한 음식을 씹다 오른쪽 위 어금니 통증으로 내원하셨습니다.
엑스레이상 특이사항은 없었지만,
구강 내 검사 결과 치아가 반으로 쪼개진 상태였습니다.
이런 경우 치료 방향은 두 가지입니다:
![]() |
![]() |
![]() |
- 자연치아를 살리는 보존 치료
- 발치 후 임플란트로 대체
🔖 환자분과 충분한 상담 후,
“오래 쓸 수 있고 확실한 치료”를 원하셔서 즉시 임플란트를 진행했습니다.
| 임플란트 식립 후 | 임플란트 식립 후 최종보철까지 완성 |
![]() |
![]() |
👉 같은 날 파절 치아 발치 + 임플란트 식립
👉 인접 어금니는 크라운 수복으로 회복
👉 치료 후 매우 만족하셨습니다 😊
📌 Tip: 파절 치아의 뿌리 상태가 양호하다면
당일 발치 + 임플란트 식립도 가능합니다.
☑️ 케이스 2. 자연치아 보존에 성공한 경우
또 다른 환자분은 “왼쪽 위 작은 어금니가 씹을 때 아프다”고 내원하셨습니다.
이번에는 엑스레이에서도 실금이 확인되었습니다.
![]() |
![]() |
![]() |
파절편과 기존 인레이를 제거한 결과
👉 치관의 절반이 파절, 뿌리 일부도 손상된 상태.
![]() |
![]() |
![]() |
하지만 뿌리 길이가 길고, 치조골 상태가 양호하여
환자분과 상의 후, 자연치 보존 치료를 선택했습니다.
🦷 치료 과정 요약
- 신경치료 진행
- 기둥(포스트) 보강
- 임시치아 사용 후 통증 확인
- 최종 크라운 완성
![]() |
![]() |
👉 치료 후 식사에 문제 없었고, 결과에 만족해하셨습니다.
물론 예후가 임플란트보다 긴 보장은 어렵지만,
“자연치를 보존하고 싶다”는 강한 의지가 있는 분이라면
가능한 옵션입니다.
❤️ 파절 치아 치료, 어떤 방향이든 충분한 상담이 먼저입니다
치료 방향은 단순히 파절 정도만으로 정할 수 없습니다.
환자분의 의지, 예산, 시간, 그리고 구강 상태 등을
종합적으로 고려한 1:1 상담이 필요합니다.
저희 오늘하루치과는
☑️ 충분한 설명
☑️ 세심한 진단
☑️ 의료진과 환자 모두 만족할 수 있는 치료
을 목표로 진료하고 있습니다.
❤️ 이런 증상이 있다면 꼭 내원해주세요

- 씹을 때 치아가 아프다
- 음식을 씹다 갑자기 찌릿한 통증이 느껴진다
- 치아 일부분이 깨진 것 같다
- 과거 보철물(인레이 등)이 탈락했다
이런 증상은 파절 치아의 초기 증상일 수 있습니다.
조기 치료가 중요한 만큼,
망설이지 말고 가까운 치과에 꼭 내원해 주세요.
☑️ 가락시장역 오늘하루치과에서는
🦷 임플란트, 자연치 보존, 신경치료, 정밀 진단 등
각 케이스에 맞는 최선의 방법을 제안드립니다.
“꼼꼼한 진료와 편안한 상담”으로
치아 건강을 지켜드리겠습니다. 😊
문정역 · 가락시장역 치과를 찾고 계신다면,
오늘하루치과에서 정확하고 따뜻한 진료를 받아보세요.
감사합니다.
오늘하루치과, 당신의 치아와 시간을 아끼는 치료
안녕하세요, 문정역 현대지식산업센터 B동 2층에 위치한오늘하루치과 대표원장 오기창입니다. 저는 11년차 통합치의학과 전문의로서 여동생인 오윤미 원장과 함께 오늘하루치과를 운영하
smiletodaydent.tistory.com
오늘하루치과는 진심을 담은 편안한 진료를 약속합니다.
아프지 않은 치료, 정확하고 양심적인 치료,
무엇보다 친절한 치료로 오늘 하루
미소짓는 하루가 되도록 최선을 다하겠습니다.
원내 기공소가 있어 당일 혹은 하루만에 치료 가능하며,
월화수목 야간진료를 진행합니다.
방문 전 전화예약 (02-2008-1275) 주시거나
네이버 예약 하고 오시면
좀더 빠르게 진료 가능합니다^^
'오늘하루치과 진료케이스' 카테고리의 다른 글
| 문정역 치과, 치경부 마모증 원인과 레진치료 후기 (교합 문제와의 연관) (0) | 2025.09.18 |
|---|---|
| 문정역치과 치아미백, 전문가 미백과정과 소요시간 총정리 (0) | 2025.09.17 |
| 👉 문정동치과 인접면 충치? 치아 사이 우식, 원데이 인레이 치료로 빠르게 해결! (0) | 2025.09.14 |
| 👉 문정 치과 치아 화이트스팟? 레진침투법으로 무삭제 자연치아 미백 (0) | 2025.09.13 |
| 장지동 라미네이트 치과, 최소삭제로 자연스럽게 개선한 실제 사례 (0) | 2025.09.05 |












