화이트스팟으로 고민이신가요? 치아를 깎지 않고 자연스럽게 개선하는 레진침투법(아이콘 치료). 문정역 오늘하루치과에서 실제 케이스와 과정을 소개합니다.
문정 치과 치아 화이트스팟? 레진침투법으로 무삭제 자연치아 미백
안녕하세요.
문정역 오늘하루치과 대표원장 오윤미입니다 😊

오늘은 많은 분들이 고민하시는 **치아 반점(화이트스팟)**을
치아를 전혀 갈지 않고 치료하는 **레진침투법(아이콘 치료)**에 대해
자세히 소개해드릴게요.
☑️ 화이트스팟이란? 치아에 생긴 하얀 반점
화이트스팟(White Spot)은 치아 표면이 탈회되며
칼슘과 인이 빠져나가 생기는 흰색 반점입니다.

❓ 이런 경우에 자주 생겨요:
- 양치 습관이 부족할 때
- 탄산음료를 자주 마실 때
- 교정치료 후 관리가 잘 안된 경우
치아의 일부가 하얗게 보이며, 특히 앞니에 생기면 심미적으로 큰 스트레스가 됩니다.
☑️ 레진침투법이란?
레진침투법은 치아를 깎지 않고
특수 레진을 침투시켜 치아 내부의 다공성을 메워주는 치료법입니다.
대표적인 재료는 DMG사의 Icon 제품입니다.


✔️ 통증 없이
✔️ 마취 없이
✔️ 치아 삭제 없이
✔️ 치료 시간 약 40분
화이트스팟을 부드럽게 지우듯 자연스럽게 개선할 수 있는
최소침습 치료의 대표주자입니다.
☑️ 레진침투법 치료 과정 (실제 케이스)
1. 러버댐 격리 및 치아 표면 클리닝


잇몸 보호를 위해 러버댐을 적용하고
불소 없는 연마제를 사용해 치아를 깨끗이 정리합니다.
2. Icon-Etch 적용
화이트스팟 부위에 에칭 젤을 바르고 2분 기다립니다.
법랑질의 미세구조를 열어주는 단계입니다.
3. 세척 및 건조
에칭 젤을 닦고, 물로 30초 세척 후 건조시킵니다.
4. Icon-Dry 적용 (미리 결과 확인)

Icon-Dry를 도포해 화이트스팟이 사라지는지 확인합니다.
여전히 보인다면 에칭을 반복합니다. (보통 3~4회 반복)
💡 이 케이스에서는 4회 반복 후 화이트스팟이 사라졌어요.
5. Icon-Infiltrant 적용
물처럼 흐르는 특수 레진을 도포하고
3분간 기다려 치아 내부로 침투되도록 합니다.
6. 광조사 (1차)


40초간 라이트 조사로 경화시킵니다.
7. Icon-Infiltrant 재도포
레진이 수축할 수 있기 때문에
한 번 더 레진을 도포하고 1분 후 다시 광조사를 진행합니다.
8. 마무리 및 폴리싱

치아 표면을 러버 포인트 등으로 매끄럽게 다듬어 마무리합니다.
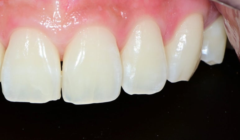
Before & After

📷 치료 전 → 치아 중앙에 선명한 하얀 반점
📷 치료 후 → 치아의 결은 그대로 유지된 채, 화이트스팟이 자연스럽게 연해짐
🌟 치료 후 광택감과 질감이 기존 치아와 잘 어우러져 매우 만족도가 높았습니다.
☑️ 레진침투법, 이런 분들께 추천드려요
- 앞니의 흰 반점이 거슬리는 분
- 치아를 갈지 않고 치료받고 싶은 분
- 마취와 통증이 걱정되시는 분
- 교정 후 생긴 화이트스팟이 고민인 분
☑️ 주의사항 & 팁
- 에나멜층에만 적용 가능한 치료입니다.
- 치아 내부까지 탈회된 경우 적용이 어려울 수 있어 진단이 필요합니다.
- 마취 없이 진행되며 통증은 거의 없습니다.
- 시술 시간은 약 40분 정도 소요됩니다.
- 시술 후 바로 일상생활 가능!
☑️문정 치과에서 무삭제 미백을 원하신다면?
문정역 오늘하루치과는
자연치 보존과 최소침습 치료를 우선으로 생각합니다.
화이트스팟, 치아 반점 등으로 고민이 되신다면
언제든지 편하게 내원해 주세요.
📞 사전 상담 및 진단 예약 환영합니다!
감사합니다 😊
📍 문정역 4번 출구 도보 3분
오늘하루치과 | 화이트스팟 레진침투법 전문 진료

오늘하루치과, 당신의 치아와 시간을 아끼는 치료
안녕하세요, 문정역 현대지식산업센터 B동 2층에 위치한오늘하루치과 대표원장 오기창입니다. 저는 11년차 통합치의학과 전문의로서 여동생인 오윤미 원장과 함께 오늘하루치과를 운영하
smiletodaydent.tistory.com
오늘하루치과는 진심을 담은 편안한 진료를 약속합니다.
아프지 않은 치료, 정확하고 양심적인 치료,
무엇보다 친절한 치료로 오늘 하루
미소짓는 하루가 되도록 최선을 다하겠습니다.
원내 기공소가 있어 당일 혹은 하루만에 치료 가능하며,
월화수목 야간진료를 진행합니다.
방문 전 전화예약 (02-2008-1275) 주시거나
네이버 예약 하고 오시면
좀더 빠르게 진료 가능합니다^^
'오늘하루치과 진료케이스' 카테고리의 다른 글
| 씹을 때 치아 통증? 파절 치아 치료 케이스 by 가락시장역 오늘하루치과 (4) | 2025.09.15 |
|---|---|
| 👉 문정동치과 인접면 충치? 치아 사이 우식, 원데이 인레이 치료로 빠르게 해결! (0) | 2025.09.14 |
| 장지동 라미네이트 치과, 최소삭제로 자연스럽게 개선한 실제 사례 (0) | 2025.09.05 |
| 문정역치과 무삭제 라미네이트, 왜소치 한 개만 자연스럽게 바꾸는 법 (0) | 2025.09.04 |
| 문정역 최소삭제 라미네이트 치과, 교정 없이 자연스럽게 예뻐진 케이스 (0) | 2025.09.03 |