라미네이트 고민 중이신가요? 교정보다는 빠르게, 무삭제보다는 안전하게 진행한 문정역 최소삭제 라미네이트 케이스를 소개합니다.
문정역 최소삭제 라미네이트, 자연스러움과 심미성을 동시에
안녕하세요.
문정역 오늘하루치과 대표원장 오윤미입니다.

오늘은 교정 대신 최소삭제 라미네이트를 선택한
실제 케이스를 소개해드리려 합니다.
고민 끝에 본인의 치료를 맡긴 분은
바로 저희 진료팀장님,
치과위생사 선생님이셨습니다. 😊
✨ 교정 말고 라미네이트? 왜 선택했을까

팀장님은 이전부터 교정 치료를 고민하셨지만,
- 시간 부담
- 치아 모양 개선 한계
이 두 가지 이유로 라미네이트를 고려하게 되셨어요.
치아 전문가이자 '치과 잘 아는' 직원분께서
본인의 치료를 맡길 만큼 신뢰해주신 점에
더 큰 책임감을 느낀 케이스였습니다.
📸 정확한 진단을 위한 촬영


기본 촬영 항목:
- 구내 포토
- 안모 사진 (스마일라인 포함)
- 3D 구강 스캔
→ 전체 조화를 고려한 심미 설계 진행
진단 소견:
- 앞니(중절치)가 약간 돌출
- 측절치 살짝 회전
- 송곳니 어둡고 비대칭
![]() |
![]() |
결론: 완전 무삭제는 어려우며,
일부 최소삭제를 통한 고른 치아 모양 형성이 필요했습니다.
🔧 최소삭제 라미네이트, 이렇게 진행됩니다
1. 3D 시뮬레이션

- 환자 치열 구조 파악
- 삭제량 최소화 가능한 부위 확인
- 디자인 가이드 제작
2. 가이드 기반 프렙

- 튀어나온 중절치 위주로 약간의 삭제
- 나머지 치아는 거의 무삭제
3. 디지털 디자인 & 제작

- 구강스캐너를 활용한 정밀 스캔
- CAD/CAM 디자인
- 밀링 & 후가공
주말 제외 총 3일 소요
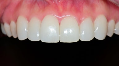
✅ 치료 결과 & 환자 반응


최종 라미네이트 셋팅 후:
- 전체적인 치열 정돈
- 색상 톤 정리
- 웃을 때 자연스럽고 조화로운 인상 완성
👉 팀장님 반응
“정말 만족해요!
웃을 때 자신감 생기고, 시림도 하루 만에 괜찮아졌어요 :)”
치과를 누구보다 잘 아는 위생사 선생님이
직접 받으신 치료라 더 큰 의미가 있었고,
저희 팀 전체도 보람을 느낀 순간이었습니다.
문정동 라미네이트 치료 후기 – 색상과 모양까지 자연스럽게!
웃을 때 입을 가리게 되는 치아 색상과 배열 고민, 라미네이트로 해결할 수 있습니다. 문정동 오늘하루치과의 실제 케이스를 통해 자연스럽고 조화로운 미소를 되찾은 이야기를 확인해보세요.
smiletodaydent.tistory.com
💡 최소삭제 라미네이트가 적합한 분
✔️ 치아가 일부 돌출되었지만 전체 교정은 부담스러운 경우
✔️ 짧은 시간 안에 미소 라인을 개선하고 싶은 경우
✔️ 자연스러운 톤과 형태 유지가 중요한 경우
❗단, 치아 배열이나 색상에 따라
무삭제 or 최소삭제 여부는 달라질 수 있으므로
반드시 전문가 진단을 받아보시길 추천드립니다.
문정동 라미네이트 치료 후기 – 색상과 모양까지 자연스럽게!
웃을 때 입을 가리게 되는 치아 색상과 배열 고민, 라미네이트로 해결할 수 있습니다. 문정동 오늘하루치과의 실제 케이스를 통해 자연스럽고 조화로운 미소를 되찾은 이야기를 확인해보세요.
smiletodaydent.tistory.com
🏥 문정역 라미네이트 치과 찾고 계신다면?
디지털 스캔부터 시뮬레이션 제작, 최소삭제 디자인까지
정밀하고 세심한 진료가 가능한
문정역 오늘하루치과에 방문해보세요.
예쁜 미소를 만들어주는 치과,
오늘하루치과입니다 😊
오늘하루치과, 당신의 치아와 시간을 아끼는 치료
안녕하세요, 문정역 현대지식산업센터 B동 2층에 위치한오늘하루치과 대표원장 오기창입니다. 저는 11년차 통합치의학과 전문의로서 여동생인 오윤미 원장과 함께 오늘하루치과를 운영하
smiletodaydent.tistory.com
오늘하루치과는 진심을 담은 편안한 진료를 약속합니다.
아프지 않은 치료, 정확하고 양심적인 치료,
무엇보다 친절한 치료로 오늘 하루
미소짓는 하루가 되도록 최선을 다하겠습니다.
원내 기공소가 있어 당일 혹은 하루만에 치료 가능하며,
월화수목 야간진료를 진행합니다.
방문 전 전화예약 (02-2008-1275) 주시거나
네이버 예약 하고 오시면
좀더 빠르게 진료 가능합니다^^
'오늘하루치과 진료케이스' 카테고리의 다른 글
| 장지동 라미네이트 치과, 최소삭제로 자연스럽게 개선한 실제 사례 (0) | 2025.09.05 |
|---|---|
| 문정역치과 무삭제 라미네이트, 왜소치 한 개만 자연스럽게 바꾸는 법 (0) | 2025.09.04 |
| 문정역 임플란트 통증·잇몸 붓기? 재보철 치료로 해결한 사례 (0) | 2025.09.02 |
| 문정역 아말감 제거 후 당일 레진 & 인레이 치료, 빠르게 해결했어요 (2) | 2025.09.01 |
| 문정동 라미네이트 치료 후기 – 색상과 모양까지 자연스럽게! (0) | 2025.08.31 |

