오래된 아말감, 지금도 쓰고 계신가요? 탈락, 충치 재발, 심미적 고민까지 함께 해결 가능한 레진 & 인레이 치료 사례를 문정역 오늘하루치과에서 소개합니다.
🦷 문정역 아말감 제거 후 당일 레진 & 인레이 치료 후기
10년 넘은 아말감, 아직 괜찮을까요?
안녕하세요.
문정역 오늘하루치과 대표원장 오윤미입니다. 😊

오늘은 오래된 아말감이 일부 탈락되며 불편감을 호소하신 환자분의 치료 사례를 소개해드릴게요.
☑️ 오래된 아말감, 왜 문제가 될까요?
아말감은 과거 널리 사용되던 금속 재료로
보험 적용이 되어 많은 분들이 오랫동안 사용해 오셨습니다.
하지만 시간이 지나면 아래와 같은 문제가 발생합니다.

- ✅ 경계면이 벌어져 세균 침투 → 2차 우식
- ✅ 금속 재료 자체의 심미적 불만
- ✅ 일부분이 깨지거나 떨어지는 기계적 문제
이번 환자분도 특별한 증상 없이 검진 중
#15, #16, #17 부위에서 노후된 아말감과 우식 가능성이 확인되어 치료를 계획하게 되었습니다.
🎯 치료 계획: 아말감 제거 → 인레이 & 레진 당일 수복

| #16 | 우식 범위 넓음 | 인레이 (부분 레진 병행) |
| #17 | 비교적 적은 충치 | 레진 빌드업 |
특히 #16의 경우, 인레이만으로는 치아 삭제량이 많아질 수 있어
레진을 병행한 보존적 수복으로 계획을 수정했습니다.
🔍 디지털 치료 과정
1️⃣ 아말감 제거 & 충치 부위 정리
기존 아말감을 제거하고 내부 우식 부위를 깨끗이 제거합니다.
2️⃣ #16 인레이 프렙 + 디지털 스캔
프렙 후에는 스캔을 통해 정밀 데이터를 수집하고,
스캔 뷰로 보철 마진 상태까지 실시간 점검합니다.
📌 디지털 스캔의 장점
- 입 안에서 보지 못하는 부분까지 확인 가능
- 보철물 정밀도 향상
- 제작 시간 단축
3️⃣ #17 레진 빌드업 진행
레진 수복은 기공 없이 입 안에서 직접 형태를 만드는 치료입니다.
작업 시간은 다소 길지만 치아 삭제량이 적고,
원래 형태를 최대한 보존할 수 있는 치료라는 장점이 있습니다.
4️⃣ 인레이 제작 완료 → #16 보철물 셋팅
레진 수복이 끝날 즈음 인레이가 제작되어
바로 장착까지 완료했습니다.
- 교합지 자국은 하루 내 자연스럽게 사라져요!
- 입천장 쪽 마진도 깔끔하게 연결되어 이물감 없이 편안하셨습니다.
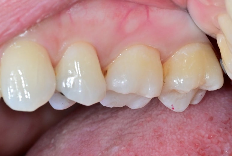
| 전 | 후 |
![]() |
![]() |
![]() |
![]() |
😊 환자분 소감
"당일에 끝나서 너무 편했어요. 치과 진료 시간 절약되고 이물감도 전혀 없어요!"
그리고 #16 근심면의 표면 우식은 초기 단계라
정기 검진을 통해 경과를 관찰하기로 했습니다.
❓ 아말감, 꼭 바꿔야 할까요?
| 경계면 변색, 잇몸 착색 | 금속 이온 침착 가능성 |
| 일부분이 깨짐 | 2차 우식 또는 씹는 기능 저하 |
| 심미 불만 | 눈에 띄는 회색/검정색 보철 |
| 민감도 증가 | 내부 충치 진행 가능성 |
심미성과 안전성, 기능성까지 고려한다면
오래된 아말감은 레진 또는 인레이로 교체하는 것이 바람직합니다.
📍 문정역에서 아말감 교체 고민 중이시라면?
- ✔️ 금속 보철이 보여서 신경 쓰이신다면
- ✔️ 오래된 아말감이 깨지거나 이가 시리다면
- ✔️ 정밀하고 당일 가능한 치료를 원하신다면
디지털 장비로 빠르고 정밀하게 치료하는
문정역 오늘하루치과에 내원해보세요.

치아를 아끼는 치료,
시간을 아끼는 치료
👉 오늘하루치과입니다 :)
오늘하루치과, 당신의 치아와 시간을 아끼는 치료
안녕하세요, 문정역 현대지식산업센터 B동 2층에 위치한오늘하루치과 대표원장 오기창입니다. 저는 11년차 통합치의학과 전문의로서 여동생인 오윤미 원장과 함께 오늘하루치과를 운영하
smiletodaydent.tistory.com
오늘하루치과는 진심을 담은 편안한 진료를 약속합니다.
아프지 않은 치료, 정확하고 양심적인 치료,
무엇보다 친절한 치료로 오늘 하루
미소짓는 하루가 되도록 최선을 다하겠습니다.
원내 기공소가 있어 당일 혹은 하루만에 치료 가능하며,
월화수목 야간진료를 진행합니다.
방문 전 전화예약 (02-2008-1275) 주시거나
네이버 예약 하고 오시면
좀더 빠르게 진료 가능합니다^^
'오늘하루치과 진료케이스' 카테고리의 다른 글
| 문정역 최소삭제 라미네이트 치과, 교정 없이 자연스럽게 예뻐진 케이스 (0) | 2025.09.03 |
|---|---|
| 문정역 임플란트 통증·잇몸 붓기? 재보철 치료로 해결한 사례 (0) | 2025.09.02 |
| 문정동 라미네이트 치료 후기 – 색상과 모양까지 자연스럽게! (0) | 2025.08.31 |
| 오래된 레진과 이차우식, 인레이로 당일 치료! 문정동치과 케이스 (0) | 2025.08.30 |
| 깨진 앞니, 레진으로 자연스럽게! 문정역 심미치료 이야기 (0) | 2025.08.29 |



