앞니가 깨지거나 우식으로 까맣게 변했다면, 간단한 레진 치료만으로 자연스러운 회복이 가능합니다. 문정역 오늘하루치과의 실제 케이스로 자세히 알려드립니다.

😁 깨진 앞니, 레진으로 자연스럽게!
문정역 심미 레진 치료 케이스
누구에게나 자신감 있는 미소는 중요합니다.
그런데 어느 날 문득 앞니가 깨지거나, 까맣게 변색되어 보인다면요?
문정역에 위치한 오늘하루치과에서는
빠르고 심미적인 앞니 수복 치료로
환자분들의 고민을 덜어드리고 있습니다.
오늘은 실제로 내원하신 환자분의 전치부(앞니) 레진 치료 사례를 통해,
심미 레진 치료가 어떤 방식으로 진행되는지 자세히 알려드릴게요.
☑️ 앞니가 깨지거나 변색되면 꼭 크라운만 필요한가요?
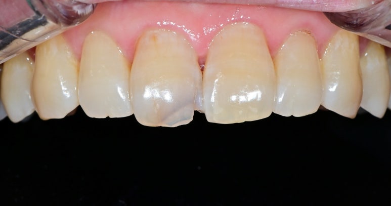
앞니가 검게 변하고 조금씩 깨지기 시작했다며
치과 방문을 망설이시던 환자분.
![]() |
![]() |
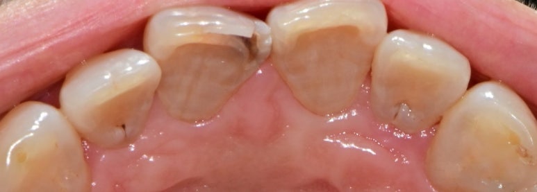
정밀 검진 결과, 설측(혀 쪽)에서 시작된 우식이
상아질을 타고 내부까지 진행된 상태였어요.
법랑질은 단단하지만, 상아질은 상대적으로 무르기 때문에
충치가 빠르게 퍼지게 됩니다.
☑️ 최소 삭제로 자연스러운 레진 수복
환자분의 경우,
전체적인 치아 형태와 배열에는 큰 문제가 없었기 때문에
불필요한 삭제를 최소화한 레진 빌드업을 선택했습니다.


치료는 마취 포함 약 40분 내외로 완료되었고,
치료 직후엔 약간의 색상 차이가 있었지만
시간이 지나면서 수분을 흡수해 자연스럽게 조화를 이룹니다. 😊
☑️ 전치부 수복 옵션 비교 : 레진, 라미네이트, 크라운
전치부 문제를 해결하는 방법은 다양합니다:
| 레진 빌드업 | 빠르고 비용 부담 적음 | 시간이 지나면 변색 가능성 |
| 라미네이트 | 전체적인 색상, 모양 개선 가능 | 치아 삭제가 필요할 수 있음 |
| 크라운 | 강도와 유지력 우수 | 비용 부담, 전체 치아 삭제 필요 |
이번 케이스에서는 색상 및 모양이 인접 치아와 자연스럽게 어울리도록
레진 수복이 가장 적합하다고 판단했습니다.
☑️치료 후 주의사항
레진 재료는 자연치보다 약하기 때문에
치료 후에는 아래와 같은 행동은 삼가시는 것이 좋아요:
- 앞니로 테이프 뜯기 ❌
- 견과류, 게장 등 단단하거나 질긴 음식 ❌
- 이를 갈거나 악물기 ❌
적절한 주의와 정기적인 관리만 있다면
오랫동안 예쁘고 건강한 앞니를 유지하실 수 있습니다!
☑️치아를 살리고 시간을 아끼는
문정역 오늘하루치과의 심미 레진 치료
치아는 작은 문제도 방치하면
더 큰 치료로 이어질 수 있습니다.
| 전 | 후 |
![]() |
![]() |
검게 변한 앞니나, 미세한 크랙이 걱정된다면
간단한 레진 수복만으로도 자연치아를 지킬 수 있습니다.
미루지 말고,
문정역 오늘하루치과에서 전문적인 상담 받아보세요.
자연스럽고 아름다운 미소를 위한 첫 걸음,
오늘 시작할 수 있습니다. 😊
오늘하루치과, 당신의 치아와 시간을 아끼는 치료
안녕하세요, 문정역 현대지식산업센터 B동 2층에 위치한오늘하루치과 대표원장 오기창입니다. 저는 11년차 통합치의학과 전문의로서 여동생인 오윤미 원장과 함께 오늘하루치과를 운영하
smiletodaydent.tistory.com
오늘하루치과는 진심을 담은 편안한 진료를 약속합니다.
아프지 않은 치료, 정확하고 양심적인 치료,
무엇보다 친절한 치료로 오늘 하루
미소짓는 하루가 되도록 최선을 다하겠습니다.
원내 기공소가 있어 당일 혹은 하루만에 치료 가능하며,
월화수목 야간진료를 진행합니다.
방문 전 전화예약 (02-2008-1275) 주시거나
네이버 예약 하고 오시면
좀더 빠르게 진료 가능합니다^^
'오늘하루치과 진료케이스' 카테고리의 다른 글
| 문정역 아말감 제거 후 당일 레진 & 인레이 치료, 빠르게 해결했어요 (2) | 2025.09.01 |
|---|---|
| 문정동 라미네이트 치료 후기 – 색상과 모양까지 자연스럽게! (0) | 2025.08.31 |
| 오래된 레진과 이차우식, 인레이로 당일 치료! 문정동치과 케이스 (0) | 2025.08.30 |
| 야간진료 가능한 문정역 치과, 치아크랙 원데이 보철로 빠르게 해결한 사례 (4) | 2025.08.28 |
| 문정동 치과 치경부 마모증, 레진 치료로 해결할 수 있을까요? 치료 전후 사진으로 확인해보세요 (12) | 2025.08.04 |



