칫솔질할 때 시큰하고, 찬물에 시린 느낌이 있다면? 치경부 마모증일 수 있습니다. 문정동 오늘하루치과의 레진 치료 사례와 사용 재료, 치료 방식까지 자세히 안내드립니다.
안녕하세요,
문정동 오늘하루치과 대표원장 오윤미입니다 😊

오늘은 의외로 많은 분들이 불편함을 느끼지만 놓치기 쉬운,
치경부 마모증과 그에 따른 레진 치료 사례를 소개해드릴게요.
🦷 치경부 마모증이란?
치경부 마모증은
치아와 잇몸 경계(치경부) 부분의 치아가 닳아 패이는 현상입니다.
주요 원인은 다음과 같습니다:

- 강한 칫솔질 또는 칫솔질 습관
- 이갈이, 이악물기
- 교합력 불균형 등
✅ 이런 증상 있다면 의심해보세요
- 양치질할 때 시큰하거나 찌릿한 느낌
- 찬물을 마실 때 민감함
- 육안으로 보이는 치아 뿌리 노출
🛠 실제 치료 사례
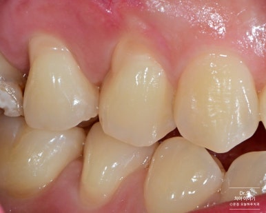
▶ 케이스 1: #14, 15 치경부 레진 치료
- 환자분은 시림 증상 없이 정기적으로 수복을 받고 계신 분이었습니다.
- 패인 부위 주변까지 넓게 레진으로 수복해 심미성과 유지력을 높였습니다.
치료 전 / 후 사진 비교
![]() |
![]() |
보시다시피, 단순히 패인 부분만 메우는 게 아니라
전체적인 윤곽과 색조까지 자연스럽게 회복한 것이 특징입니다.
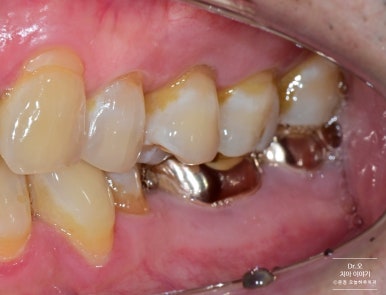
▶ 케이스 2: 기존 레진 탈락 부위 재수복
전 후
![]() |
![]() |
- 반대편 부위는 레진이 접착 실패로 탈락한 상태였습니다.
- 탈락된 부위는 치태가 쉽게 끼고 충치 위험이 증가하기 때문에
다시 수복을 진행했습니다.
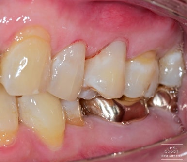
▶ 케이스 3: #24, 25 치아 수복
![]() |
![]() |
- 다른 환자분 케이스입니다.
- 좌우 대칭으로 심미성과 기능을 고려한 수복이 이루어졌습니다.
레진 직후 촬영으로 잇몸 자국이 남아 있지만 하루이틀이면 회복됩니다.
💬 치료 철학: 넓고 정밀하게, 시간은 투자하되 치아는 아끼는 방식으로
치경부 레진은 작은 패임만 채우는 게 아니라,
전체 곡면과 접착력까지 고려한 디자인이 필요합니다.
치료 시간이 조금 더 걸리더라도

- 오래 가는 치료,
- 재탈락 가능성 낮은 수복,
- 심미적인 결과를 목표로 치료합니다.
"원장님처럼 공들여 떼우시는 분 처음 봐요!"
어시스트 치위생사 피셜 😊
🔍 사용된 주요 재료 소개
| 에칭제 | Bisco Etchant (BAC 함유, 소독 효과 포함) |
| 접착제 | SE Bond (다양한 적응증별 4종 보유) |
| 레진재료 | 3M 플로어블 레진 (강도 + 유연성 + 심미성 우수) |
| 폴리싱 버 | 마이징거 레진 전용 폴리싱 |
| 기타 | 코드 사용 (치은열구액 방지용) |
※ SE Bond는 시림 방지, pH 안정성, 시멘트 궁합을 모두 고려해
각 상황에 맞게 선택해 사용 중입니다.
📌 마무리하며
치경부 마모증은 방치 시 치아 구조 손실과 시림, 충치 발생 가능성이 높습니다.
그러나 정밀하고 올바른 레진 수복 치료를 통해
심미성과 기능을 모두 회복할 수 있습니다.
문정동 오늘하루치과는 단순한 충전이 아닌
정밀한 수복과 정석적인 치료 원칙을 기반으로
환자 개개인에 맞는 최적의 치료를 진행하고 있습니다.
시린 치아나 마모된 치아로 불편을 느끼고 계신다면
언제든 부담 없이 상담받아보세요 😊
오늘하루치과, 당신의 치아와 시간을 아끼는 치료
안녕하세요, 문정역 현대지식산업센터 B동 2층에 위치한오늘하루치과 대표원장 오기창입니다. 저는 11년차 통합치의학과 전문의로서 여동생인 오윤미 원장과 함께 오늘하루치과를 운영하
smiletodaydent.tistory.com
문정역치과 오늘하루치과는
현대지식산업센터 B 동 2층에 위치하고 있습니다.
(A동 1층에 약국이 있는데, 맞은편이 B동 입구입니다)
방문 전 전화예약 (02-2008-1275) 주시거나
네이버 예약 하고 오시면
좀더 빠르게 진료 가능합니다^^
'오늘하루치과 진료케이스' 카테고리의 다른 글
| 문정역 아말감 제거 후 당일 레진 & 인레이 치료, 빠르게 해결했어요 (2) | 2025.09.01 |
|---|---|
| 문정동 라미네이트 치료 후기 – 색상과 모양까지 자연스럽게! (0) | 2025.08.31 |
| 오래된 레진과 이차우식, 인레이로 당일 치료! 문정동치과 케이스 (0) | 2025.08.30 |
| 깨진 앞니, 레진으로 자연스럽게! 문정역 심미치료 이야기 (0) | 2025.08.29 |
| 야간진료 가능한 문정역 치과, 치아크랙 원데이 보철로 빠르게 해결한 사례 (4) | 2025.08.28 |





