오래된 레진 사이로 이차우식이 생기셨나요? 문정동 오늘하루치과에서는 정밀한 진단과 인레이 당일치료로 빠르게 회복하실 수 있습니다. 실제 치료 과정을 케이스로 보여드립니다.
☑️ 오래된 레진과 이차우식, 인레이로 당일 치료!
문정동 오늘하루치과의 실제 케이스 소개
안녕하세요,
문정동 현대지식산업센터에 위치한 오늘하루치과 대표원장 오윤미입니다.😊

오늘은 오래된 레진과 그 주변에 발생한 이차우식(Secondary Caries) 문제를
인레이 당일 치료로 해결한 사례를 소개드리려고 합니다.
✔️ 증상이 없더라도, 오래된 레진은 점검이 필요합니다
내원하신 환자분은 별다른 증상이 없었지만
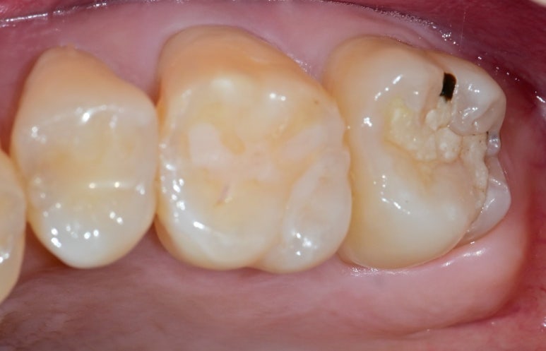
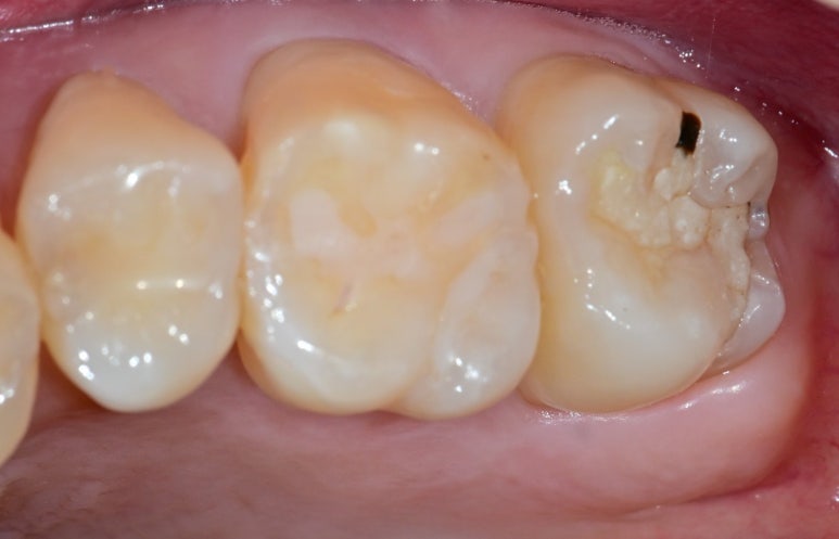
정기검진 중 #27 어금니 부위의 레진 탈락과 이차우식이 발견되었습니다.

치아 사이사이로 음식물이 잘 끼거나,
치실에 걸리는 느낌이 있다면 이미 내부에 세균 침투가 시작된 것일 수 있습니다.
✔️큐레이 사진으로 본 이차우식의 진행
치아 상태를 큐레이(Q-ray) 촬영으로 확인한 결과,
레진과 치아 경계 부위에 세균이 활발하게 침투한 흔적이 관찰되었습니다.
![]() |
![]() |
이러한 미세한 이차우식은 육안으로는 잘 보이지 않기 때문에
정밀 진단 장비가 치료 성공률을 높이는 데 매우 중요합니다.
✔️ 우식 제거 + 디지털 스캔 + 인레이 제작까지 한 번에!
🔹 1단계: 이차우식 제거 및 레진 제거
오래된 레진과 감염된 우식 부위를 정리하고,
깊은 부위는 베이스 레진으로 안정화합니다.
🔹 2단계: 디지털 스캔 & 프렙 점검
정리된 치아는 구강스캐너를 통해 스캔 후,
프렙(치아 삭제면)이 부드럽고 정밀한지 스캔 데이터로 바로 확인합니다.
💡 기존엔 석고 모델을 기다려야 했지만, 디지털 기술 덕분에 즉시 평가가 가능합니다.
🔹 3단계: 인레이 디자인 & 당일 완성
스캔 데이터 기반으로 인레이를 디자인하여
당일 제작 및 부착까지 깔끔하게 마무리했습니다!
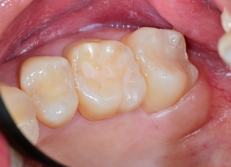
✔️ 결과 사진: 인레이 치료 완료


깔끔하고 정확하게 안착된 인레이!
환자분도 치료 당일 바로 식사가 가능하셔서 만족도가 높았습니다.
치아를 최대한 아끼면서, 빠르게 기능을 회복할 수 있었던 치료였습니다.
☑️ 문정동에서 이차우식 걱정되시나요?
오래된 레진은 육안으로 멀쩡해 보여도
내부에 미세한 세균 침투나 변연 누출이 있을 수 있습니다.
정기검진을 통해 보이지 않는 충치까지 조기 발견하고,
필요시 당일 인레이 치료로 빠르게 대응하는 것이 중요합니다.
☑️치아를 아끼는 치료, 시간을 아끼는 치료
문정동 오늘하루치과에서 시작하세요
- 디지털 인레이 당일 치료 가능
- 정밀 스캔과 큐레이 진단으로 정확한 상태 파악
- 치아 삭제는 최소화, 유지력은 극대화
| 전 | 후 |
![]() |
![]() |
문정동에서 빠르고 정밀한 인레이 치료를 원하신다면
오늘하루치과에서 전문적인 진료를 받아보세요. 😊
오늘하루치과, 당신의 치아와 시간을 아끼는 치료
안녕하세요, 문정역 현대지식산업센터 B동 2층에 위치한오늘하루치과 대표원장 오기창입니다. 저는 11년차 통합치의학과 전문의로서 여동생인 오윤미 원장과 함께 오늘하루치과를 운영하
smiletodaydent.tistory.com
오늘하루치과는 진심을 담은 편안한 진료를 약속합니다.
아프지 않은 치료, 정확하고 양심적인 치료,
무엇보다 친절한 치료로 오늘 하루
미소짓는 하루가 되도록 최선을 다하겠습니다.
원내 기공소가 있어 당일 혹은 하루만에 치료 가능하며,
월화수목 야간진료를 진행합니다.
방문 전 전화예약 (02-2008-1275) 주시거나
네이버 예약 하고 오시면
좀더 빠르게 진료 가능합니다^^
'오늘하루치과 진료케이스' 카테고리의 다른 글
| 문정역 아말감 제거 후 당일 레진 & 인레이 치료, 빠르게 해결했어요 (2) | 2025.09.01 |
|---|---|
| 문정동 라미네이트 치료 후기 – 색상과 모양까지 자연스럽게! (0) | 2025.08.31 |
| 깨진 앞니, 레진으로 자연스럽게! 문정역 심미치료 이야기 (0) | 2025.08.29 |
| 야간진료 가능한 문정역 치과, 치아크랙 원데이 보철로 빠르게 해결한 사례 (4) | 2025.08.28 |
| 문정동 치과 치경부 마모증, 레진 치료로 해결할 수 있을까요? 치료 전후 사진으로 확인해보세요 (12) | 2025.08.04 |



