금니(골드 크라운), 얼마나 쓰면 바꿔야 할까요?
송파 문정역 치과에서 실제 교체 사례를 통해 금니 수명과 교체 시기를 정리해드립니다.
“금니는 얼마나 쓰면 교체해야 하나요?”
“겉보기엔 멀쩡한데 굳이 바꿔야 할까요?”
안녕하세요.
문정역 오늘하루치과 대표원장 오윤미입니다.

오늘은 금니(골드 크라운)의 수명과 교체 시기,
그리고 지르코니아로 교체한 실제 사례를 공유드리겠습니다.

💡 금니(골드 크라운), 정말 오래 쓸 수 있을까?
골드 크라운은 강도와 생체 적합성이 뛰어나
과거부터 많이 사용된 보철 재료입니다.
실제로 15년, 20년 이상 쓰는 분들도 많습니다.
하지만 중요한 건,
재료 수명보다 더 중요한 건 내부 상태라는 점입니다.
⛔ 금니라도 이런 경우엔 교체가 필요합니다:
- 잇몸이 내려가며 보철 경계 노출
- 경계 부위 미세 틈 → 이차 우식(충치) 발생
- 보철 내부 마모 또는 세균 침투
- 치아 내부 크랙(균열) 발생
👉 즉, 겉보기엔 멀쩡해도
내부에서 조용히 진행되는 손상이 많기 때문에
정기 검진이 반드시 필요합니다.
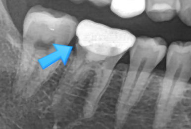
🦷 실제 사례 : 20년 된 금니, 지르코니아로 교체
📌 환자 상황
![]() |
![]() |
- 20년 넘게 금니(골드 크라운)를 사용
- 통증 X, 하지만 연식 걱정 + 심미성 개선 원함
정밀 검진 결과,
하악 어금니(#36, #46) 부위에서
보철 경계의 착색과 미세 틈이 관찰되었습니다.
![]() |
![]() |
보철 내부 우식 의심도 있었기에
기존 금니를 제거하고 내부를 확인했습니다.
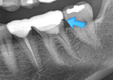
🔍 내부 상태 확인
![]() |
![]() |
![]() |
- #46: 기존 보철 제거 시 아말감 코어 확인 → 내부 충치 확인
- #36: 보철 하부에서 크랙 라인 확인
➡ 감염된 부위는 완전 제거,
➡ 남은 치질은 레진 코어로 보강,
➡ 최종적으로 지르코니아 크라운으로 심미 보철 수복
✅ 치료 후 변화
| 외관 | 금니로 심미성 부족 | 자연치 색상으로 심미성 향상 |
| 내부 상태 | 우식 및 크랙 존재 | 감염 제거 + 코어 보강 |
| 환자 만족도 | 연식 불안 | 심미적 + 기능적 안정감 확보 |

환자분께서는 치료 후
**“보기도 좋고 마음도 편하다”**며 만족하셨고,
추가로 위쪽 오래된 보철도 교체하셨습니다 😊
💬 금니 교체, 언제가 적절할까요?
정답은 ‘정기적 체크’입니다.
- ✅ 금니 수명: 보통 15~20년 이상 가능
- ❗ 단, 중간중간 경계 변형·이차 충치·잇몸 변화 체크 필요
- 🦷 겉보기 멀쩡해도, 내부 상태는 엑스레이나 큐레이 검사로만 확인 가능
🎯 지르코니아는 어떤 장점이 있을까?
지르코니아 크라운은 다음과 같은 장점이 있습니다:
- ✔️ 자연치아와 유사한 색상 → 심미성 우수
- ✔️ 높은 강도 → 어금니도 OK
- ✔️ 마모, 변색에 강함 → 장기 사용에 적합
기존 금니에서 지르코니아로 교체하는 분들이
점점 늘고 있는 이유이기도 합니다.
📍 오늘하루치과의 보철 진료 원칙
- 디지털 장비 기반 정확한 진단과 예측
- 불필요한 보철 교체는 지양,
하지만 놓치면 안 되는 문제는 빠르게 치료 - 환자 맞춤형 재료 선택 → 기능과 심미성 모두 고려
❤️마무리하며
금니는 오래 사용할 수 있는 훌륭한 보철물이지만,
영원하지는 않습니다.
정기검진과 전문 진단을 통해
언제 교체해야 하는지를 판단하는 것이
치아 건강을 오래 유지하는 가장 좋은 방법입니다.
오래된 금니가 걱정되시나요?
문정역 오늘하루치과에서 정확히 진단해드리겠습니다.
편하게 상담 주세요.
감사합니다 😊

오늘하루치과, 당신의 치아와 시간을 아끼는 치료
안녕하세요, 문정역 현대지식산업센터 B동 2층에 위치한오늘하루치과 대표원장 오기창입니다. 저는 11년차 통합치의학과 전문의로서 여동생인 오윤미 원장과 함께 오늘하루치과를 운영하
smiletodaydent.tistory.com
문정역치과 오늘하루치과는
현대지식산업센터 B 동 2층에 위치하고 있습니다.
(A동 1층에 약국이 있는데, 맞은편이 B동 입구입니다)
방문 전 전화예약 (02-2008-1275) 주시거나
네이버 예약 하고 오시면
좀더 빠르게 진료 가능합니다^^
'오늘하루치과 보철진료' 카테고리의 다른 글
| 송파구치과 크라운교체, 하루 만에 완성! (0) | 2025.10.09 |
|---|---|
| 문정동 크라운 깨짐, 하루 만에 지르코니아 크라운으로 재보철 완료한 사례 (0) | 2025.10.08 |
| 문정역 치과, 인레이·온레이·크라운 차이 쉽게 알려드립니다 (2) | 2025.08.06 |
| 석촌동 치과 레진 치료 후 주의사항, 꼭 알고 가세요 (5) | 2025.08.05 |
| 장지역 치과 인접면 충치, 겉으론 안 보여도 이미 진행 중일 수 있습니다 (1) | 2025.08.03 |






