크라운이 깨졌다면? 문정동 오늘하루치과에서는 하루 만에 지르코니아 크라운으로 빠르게 재보철이 가능합니다. 디지털 장비와 원데이 시스템으로 기능과 심미성까지 회복한 치료 사례, 지금 확인해보세요.
안녕하세요 :)
송파 문정역 오늘하루치과 대표원장 오윤미입니다.

오늘은 오래 사용하던 크라운이 깨져 내원하신 환자분께
지르코니아 재보철을 하루 만에 진행한 사례를 소개해드릴게요.
🦷 크라운이 깨지는 이유?
치과에서 자주 만나는 문제 중 하나가 크라운 파절입니다.
다양한 원인으로 발생할 수 있는데요:
- 장기간 사용에 따른 마모
- 이갈이나 과도한 저작력
- 약한 재료(레진계열) 사용
이번 환자분 역시 기존 크라운이 레진계열 소재로 제작돼
시간이 지나면서 파절된 상태였습니다.
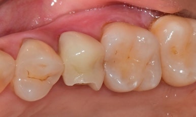
![]() |
![]() |
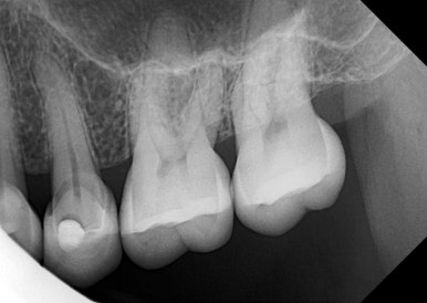
🧑⚕️ 남아 있는 치아는 건강할까?
파절된 보철을 제거한 뒤,
치아 상태를 정밀하게 체크했습니다.
![]() |
![]() |
✅ 다행히 치아 뿌리와 구조 모두 건강했고,
✅ 신경치료나 추가 보강 없이 바로 재보철이 가능했어요.
💎 지르코니아 크라운으로 교체
이번에는 지르코니아 소재로 교체했습니다.
지르코니아는 다음과 같은 장점이 있습니다:

- 높은 강도와 내구성
- 자연치에 가까운 색감
- 오래 사용해도 마모나 변형 적음
⏱ 하루 만에 완성된 크라운, 원데이 보철 시스템
오늘하루치과는 디지털 CAD/CAM 시스템과
기공소가 내부에 있는 원데이 보철 시스템을 갖추고 있어



👉 오전에 크라운 제거 및 구강스캔
👉 오후에 바로 보철물 제작 및 장착 완료!
하루 만에 완성된 지르코니아 크라운에
환자분도 큰 만족감을 보여주셨어요 :)
🦷 Before & After

**“이제 마음 놓고 씹을 수 있다”**
는 환자분의 말씀이
저희에겐 큰 보람이었습니다 :)
✅ 크라운 파절, 방치하지 마세요
작은 깨짐이라도 방치하면 2차 충치나 신경 손상으로 이어질 수 있습니다.
빠른 진단과 정확한 치료로 치아 건강을 지키세요.
문정역 오늘하루치과는
빠르지만 가볍지 않은 치료를 약속드립니다.
감사합니다!
📌 문정역 디지털 치과의 원데이보철, 하루 만에 끝내는 빠른 치료
문정역 디지털 치과의 원데이보철, 하루 만에 끝내는 빠른 치료
“보철 치료, 꼭 두 번이나 와야 하나요?”“임시치아가 불편해서 중요한 일정이 미뤄졌어요...” 이런 이유로 치과 치료를 자꾸 미루게 되신다면,문정역 오늘하루치과의 '원데이보철' 시스템을
smiletodaydent.tistory.com
오늘하루치과, 당신의 치아와 시간을 아끼는 치료
안녕하세요, 문정역 현대지식산업센터 B동 2층에 위치한오늘하루치과 대표원장 오기창입니다. 저는 11년차 통합치의학과 전문의로서 여동생인 오윤미 원장과 함께 오늘하루치과를 운영하
smiletodaydent.tistory.com
오늘하루치과는 진심을 담은 편안한 진료를 약속합니다.
아프지 않은 치료, 정확하고 양심적인 치료,
무엇보다 친절한 치료로 오늘 하루
미소짓는 하루가 되도록 최선을 다하겠습니다.
원내 기공소가 있어 당일 혹은 하루만에 치료 가능하며,
월화수목 야간진료를 진행합니다.
방문 전 전화예약 (02-2008-1275) 주시거나
네이버 예약 하고 오시면
좀더 빠르게 진료 가능합니다^^
'오늘하루치과 보철진료' 카테고리의 다른 글
| 위례치과 앞니 깨짐, 당일 레진치료로 자연스럽게 복원한 실제 사례 (0) | 2025.10.10 |
|---|---|
| 송파구치과 크라운교체, 하루 만에 완성! (0) | 2025.10.09 |
| 송파 치과, 금니 교체 시기와 수명은? 지르코니아로 교체한 실제 사례 (1) | 2025.08.07 |
| 문정역 치과, 인레이·온레이·크라운 차이 쉽게 알려드립니다 (2) | 2025.08.06 |
| 석촌동 치과 레진 치료 후 주의사항, 꼭 알고 가세요 (5) | 2025.08.05 |



