위례치과를 찾고 계시나요? 앞니 깨짐, 파절은
당일 레진 수복 치료로 빠르게 회복할 수 있습니다.
문정역 오늘하루치과에서는 심미성과 기능을 동시에 살린 자연스러운 복원을 도와드립니다.
안녕하세요,
송파구 문정역에 위치한 오늘하루치과 대표원장 오윤미입니다.

오늘은 갑작스러운 외상으로 앞니가 깨진 환자분의 사례를 통해,
심미성과 기능을 동시에 회복한 레진 수복 치료 과정을 소개해드리겠습니다.
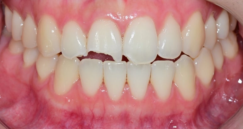
🦷 갑작스럽게 앞니가 부러졌다면?
환자분은 아침 일찍, 예상치 못한 외상으로
앞니 세 개가 파절된 상태로 내원하셨습니다.

앞니는 웃을 때, 말할 때, 사진 찍을 때 가장 먼저 보이는 부위이기 때문에
작은 손상만으로도 외모나 자신감에 큰 영향을 줄 수 있습니다.
📋 검진 결과: 신경 손상은 없지만 빠른 치료 필요

- 신경까지 노출되진 않았으나
- 치아 표면이 날카롭고 비대칭적으로 파절됨
- 치아 건드릴 때 통증 반응(TTP) 있음
- 동요도 없음 → 신경치료는 불필요, 레진으로 수복 가능
👉 즉시 당일 치료가 가능한 레진 수복을 안내드렸습니다.
💡 왜 레진 치료를 선택했을까요?

- 자연치아 색상과 매우 유사한 색감 표현 가능
- 당일 내에 치료 마무리 가능
- 마취 부담 없이 빠른 시술 가능
- 손상 부위만 정교하게 복원 가능
✅ 특히 앞니처럼 심미성이 중요한 부위에는
정교한 레이어링(층층이 쌓기) 기술로 더욱 자연스러운 복원이 가능합니다.
⚙️ 치료 과정 요약
- 손상된 앞니 부위 정리 및 표면 처리
- 치아와 유사한 색의 레진 소재 선택
- 빛과 투명도 고려하여 여러 층으로 수복
- 교합 확인 후 마무리 연마
📸 치료 전후 비교

레진 수복 직후에도 자연스러움을 확인하실 수 있습니다.
🔁 치료 후 주의사항
- 앞니로 딱딱한 음식은 가급적 피하기
- 외상 후 미세한 균열 가능성 있으므로 정기 검진 필수
- 착색 방지를 위해 커피/와인/흡연 등 주의
- 수명이 다한 경우 간단히 재수복 가능
📌 깨진 앞니, 레진으로 자연스럽게! 문정역 심미치료 이야기
깨진 앞니, 레진으로 자연스럽게! 문정역 심미치료 이야기
앞니가 깨지거나 우식으로 까맣게 변했다면, 간단한 레진 치료만으로 자연스러운 회복이 가능합니다. 문정역 오늘하루치과의 실제 케이스로 자세히 알려드립니다. 😁 깨진 앞니, 레진으로 자
smiletodaydent.tistory.com
📍 위례 근처에서 당일 레진치료 가능한 치과?
오늘하루치과는 문정역 인근에 위치해
위례, 송파, 장지, 거여, 가락동에서도 많은 환자분들께서 방문해주고 계십니다.
👉 외상으로 앞니가 깨졌다면 치료 타이밍이 예후를 좌우합니다.
즉시 내원하셔야 신경 손상 없이 자연치 복원이 가능합니다.
오늘하루치과, 당신의 치아와 시간을 아끼는 치료
안녕하세요, 문정역 현대지식산업센터 B동 2층에 위치한오늘하루치과 대표원장 오기창입니다. 저는 11년차 통합치의학과 전문의로서 여동생인 오윤미 원장과 함께 오늘하루치과를 운영하
smiletodaydent.tistory.com
오늘하루치과는 진심을 담은 편안한 진료를 약속합니다.
아프지 않은 치료, 정확하고 양심적인 치료,
무엇보다 친절한 치료로 오늘 하루
미소짓는 하루가 되도록 최선을 다하겠습니다.
원내 기공소가 있어 당일 혹은 하루만에 치료 가능하며,
월화수목 야간진료를 진행합니다.
방문 전 전화예약 (02-2008-1275) 주시거나
네이버 예약 하고 오시면
좀더 빠르게 진료 가능합니다^^
'오늘하루치과 보철진료' 카테고리의 다른 글
| 문정동치과 신경치료 후 통증, 그냥 넘기면 안 되는 이유 (0) | 2025.10.12 |
|---|---|
| 문정동치과 어금니 통증, 알고 보니 C형 근관? 신경치료 사례 소개 (0) | 2025.10.11 |
| 송파구치과 크라운교체, 하루 만에 완성! (0) | 2025.10.09 |
| 문정동 크라운 깨짐, 하루 만에 지르코니아 크라운으로 재보철 완료한 사례 (0) | 2025.10.08 |
| 송파 치과, 금니 교체 시기와 수명은? 지르코니아로 교체한 실제 사례 (1) | 2025.08.07 |