씹을 때 아픈 어금니, 원인은 단순한 충치가 아닐 수 있습니다.
문정오늘하루치과에서 C형 근관 구조를 가진 어금니 신경치료 실제 사례를 통해, 정확한 진단과 섬세한 치료 과정까지 자세히 알려드립니다.
안녕하세요,
송파구 문정역 문정오늘하루치과 대표원장 오윤미입니다.

오늘은 씹을 때 어금니 통증을 호소하신 환자분들의
특별한 신경치료 사례,
바로 C형 근관(C-shape canal) 치료에 대해 소개드릴게요.
❗ 어금니가 씹을 때 아픈 이유, 단순 충치가 아닐 수도 있어요
“가만히 있어도 욱신거려요.”
“씹을 때마다 어금니가 찌릿하게 아파요.”
이런 증상을 겪는 분들 중 일부는
**단순 충치가 아닌, 특별한 형태의 신경관(C형 근관)**을 가지고 있을 수 있습니다.
🧠 C형 근관이란?
C-shape canal은 특히 **아래쪽 어금니(하악 제2대구치)**에서 종종 나타나는 복잡한 신경관 구조입니다.

- 주신경관이 하나로 보이지만, 실제로는 여러 갈래로 얇게 이어짐
- 좁고 구불구불해 기구가 닿기 어려움
- 정밀한 세척·충전 없이는 재발 위험이 높음
C형 근관은 일반적인 근관보다 훨씬 까다롭기 때문에
정확한 진단과 풍부한 임상 경험이 중요합니다.
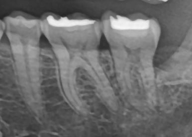
✅ 실제 치료 케이스 1: 좌측 어금니 #37 C-shape canal


- 환자 증상: 가만히 있어도 욱신, 씹을 때 통증
- 검사 결과: 크랙과 치수염 진행, 신경치료 필요
📸 러버댐 장착 후 C형 근관 확인

→ 내부에 여러 갈래로 연결된 신경관 존재
![]() |
![]() |
![]() |
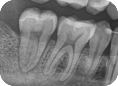
🔧 근관 내 소독 + 충전 마무리 후
| 전 | 후 |
![]() |
![]() |
→ 통증 소실, 저작 시 불편감 사라짐
→ 지르코니아 크라운으로 마무리 수복
📌큐레이(Qray)로 진단하는 치아 크랙과 충치 – 문정동 오늘하루치과 실제 사례
큐레이(Qray)로 진단하는 치아 크랙과 충치 – 문정동 오늘하루치과 실제 사례
치과 진단 장비 '큐레이(Qray)'를 통해 육안으로 보이지 않던 치아 실금과 초기 충치를 정확히 진단한 실제 사례를 소개합니다. 빠르고 정확한 보철 치료까지, 문정동 오늘하루치과에서 경험하세
smiletodaydent.tistory.com
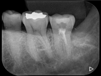
✅ 실제 치료 케이스 2: 우측 어금니 #47 C-shape canal


- 환자 증상: 어금니 통증, 씹기 어려움
- 진단: 크랙으로 인한 치수염, 신경치료 결정
🔬 MTA 실러 + GP cone 이용한 충전
| 전 | 후 |
![]() |
![]() |
→ C형 근관 특유의 얇은 통로까지 완벽하게 충전
→ 치료 후 통증 소실, 크라운 수복 완료
🦷 왜 C형 근관은 어려운가요?
- 겉보기엔 하나지만, 내부는 복잡하게 연결
- 기구가 닿지 않는 틈으로 감염이 남을 수 있음
- 정확한 진단 장비 + 섬세한 기술 필수
💬 마무리하며 – 어금니 통증, 그냥 넘기지 마세요
어금니 통증은 단순한 충치가 아닐 수 있습니다.
특히 C형 근관이 있는 경우,
정확한 진단과 숙련된 치료 없이는 완치가 어렵습니다.
📍 문정오늘하루치과는
C형 근관과 같은 까다로운 신경구조도
경험을 바탕으로 안전하게 치료하고 있습니다.
📌문정동 치과 재신경치료(Re-Endo), 자연치아 살릴 수 있을까요? 실제 치료 사례로 알려드려요
문정동 치과 재신경치료(Re-Endo), 자연치아 살릴 수 있을까요? 실제 치료 사례로 알려드려요
문정동치과 재신경치료(Re-Endo)는 신경치료 후에도 통증이 지속될 때 자연치아를 살릴 수 있는 마지막 방법입니다. 실제 치료 사례를 통해 리엔도의 효과를 알려드립니다. 안녕하세요,송파구 문
smiletodaydent.tistory.com
조금이라도 어금니가 불편하다면,
정밀 검사와 조기 치료로 건강한 치아를 지켜보세요.
감사합니다 😊
오늘하루치과, 당신의 치아와 시간을 아끼는 치료
안녕하세요, 문정역 현대지식산업센터 B동 2층에 위치한오늘하루치과 대표원장 오기창입니다. 저는 11년차 통합치의학과 전문의로서 여동생인 오윤미 원장과 함께 오늘하루치과를 운영하
smiletodaydent.tistory.com
오늘하루치과는 진심을 담은 편안한 진료를 약속합니다.
아프지 않은 치료, 정확하고 양심적인 치료,
무엇보다 친절한 치료로 오늘 하루
미소짓는 하루가 되도록 최선을 다하겠습니다.
원내 기공소가 있어 당일 혹은 하루만에 치료 가능하며,
월화수목 야간진료를 진행합니다.
방문 전 전화예약 (02-2008-1275) 주시거나
네이버 예약 하고 오시면
좀더 빠르게 진료 가능합니다^^
'오늘하루치과 보철진료' 카테고리의 다른 글
| 위례치과 크라운치료, 인레이 주변 충치 재발? 해결방법은 (0) | 2025.10.14 |
|---|---|
| 문정동치과 신경치료 후 통증, 그냥 넘기면 안 되는 이유 (0) | 2025.10.12 |
| 위례치과 앞니 깨짐, 당일 레진치료로 자연스럽게 복원한 실제 사례 (0) | 2025.10.10 |
| 송파구치과 크라운교체, 하루 만에 완성! (0) | 2025.10.09 |
| 문정동 크라운 깨짐, 하루 만에 지르코니아 크라운으로 재보철 완료한 사례 (0) | 2025.10.08 |






