오래된 인레이 주변에 충치가 생겼다면 단순 레진보다 크라운 치료가 필요한 경우가 많습니다.
위례치과 오늘하루치과의 실제 치료 사례를 통해 이차우식 원인과 치료 방법, 예후까지 자세히 알려드립니다.
안녕하세요,
송파구 문정역 인근, 위례에서 가까운 문정오늘하루치과 대표원장 오윤미입니다.

오늘은 **기존 인레이 주변에 생긴 충치(이차우식)**로 인해
지르코니아 크라운 치료를 진행한 실제 사례를 소개해 드리려고 합니다.
✅ 이차우식이란?
‘이차우식’이란 기존 수복물(인레이·레진 등)과 치아 사이 틈에서
충치가 다시 발생하는 현상입니다.
시간이 지나면
- 수복물 경계에 미세한 틈이 생기고
- 음식물 잔여물과 세균 침투
- 반복되는 저작력으로 마모되며
충치가 생길 수 있습니다.
특히 어금니는 강한 힘을 받는 부위라
이차우식 발생률이 높습니다.
🦷 위례치과 실제 치료 케이스 소개
환자분은 우측 아래 첫 번째 어금니(#46)에
예전에 인레이 수복을 하셨던 상태였어요.
![]() |
![]() |
하지만 최근 음식물이 잘 끼고, 이물감이 있다는 이유로 내원하셨고
검사 결과 기존 인레이 주변에 충치가 재발(이차우식) 되어 있었습니다.
🛠 단순 레진 수복이 아닌 크라운 치료 결정
기존 수복 범위가 컸고, 충치도 깊었기 때문에
단순히 레진이나 인레이로 덮는 것보다는
지르코니아 크라운으로 전체 덮개 수복을 결정했습니다.
🔎 치료 과정 요약
![]() |
![]() |
![]() |
- 충치 제거 후 치아 삭제
→ 남은 건강한 치질을 보존하며 정리 - 구강 스캐너로 3D 스캔
→ CAD/CAM 시스템을 통해 맞춤 설계 - 지르코니아 크라운 제작 및 셋팅
→ 교합, 인접 치아와의 적합도 정밀 조정
💡 포인트: 협측 마진을 ‘잇몸 위’로 설정한 이유
보철물과 치아의 경계인 ‘마진’은
잇몸 아래(치은연하)에 위치하면 감염 위험이 증가합니다.
![]() |
![]() |
![]() |
![]() |
이번 치료에서는 **협측 마진을 잇몸 위(치은연상)**에 설정하여
- 시멘트 제거 용이
- 잇몸 자극 최소화
- 치질 보존 및 신경 자극 감소
효율적인 치료가 가능했습니다.
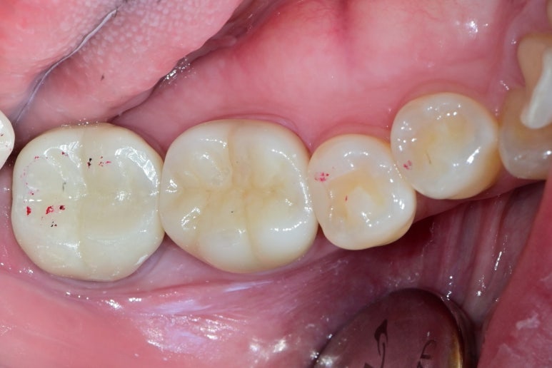
📸 치료 전후 비교
치료 전

- 오래된 인레이 주변으로 충치 발생
- 음식물 끼임, 이물감, 위생 불량
치료 후

- 자연스러운 치아 색조
- 튼튼하고 밀착된 지르코니아 크라운
- 씹을 때 불편감 해소
📌 이차우식을 예방하려면?
이차우식은 초기 발견이 어렵기 때문에 정기 검진이 중요합니다.
✨ 예방 팁
- 6개월 ~ 1년 간격으로 정기검진
- 치간칫솔·치실 사용 습관화
- 수복물 주변에 음식물 끼임 있을 시 즉시 체크
📝 마무리하며

예전에 한 인레이, 레진, 금니 등 주변이
시리거나 음식물이 자주 낀다면
단순 재수복이 아닌 정밀한 진단이 필요할 수 있습니다.
문정 오늘하루치과는 위례에서 차량으로 10분 거리에 위치하고 있어
위례치과 찾으시는 분들께도 빠르고 정확한 보철 진료를 제공하고 있습니다.
작은 충치라도 방치하지 말고,
불편함이 있다면 조기에 검진받아보시길 권해드립니다. 😊
감사합니다.
오늘하루치과, 당신의 치아와 시간을 아끼는 치료
안녕하세요, 문정역 현대지식산업센터 B동 2층에 위치한오늘하루치과 대표원장 오기창입니다. 저는 11년차 통합치의학과 전문의로서 여동생인 오윤미 원장과 함께 오늘하루치과를 운영하
smiletodaydent.tistory.com
오늘하루치과는 진심을 담은 편안한 진료를 약속합니다.
아프지 않은 치료, 정확하고 양심적인 치료,
무엇보다 친절한 치료로 오늘 하루
미소짓는 하루가 되도록 최선을 다하겠습니다.
원내 기공소가 있어 당일 혹은 하루만에 치료 가능하며,
월화수목 야간진료를 진행합니다.
방문 전 전화예약 (02-2008-1275) 주시거나
네이버 예약 하고 오시면
좀더 빠르게 진료 가능합니다^^
'오늘하루치과 보철진료' 카테고리의 다른 글
| 문정동치과 인접면 충치, 겉으론 멀쩡해도 안쪽에서 진행됩니다 (0) | 2025.10.31 |
|---|---|
| 문정동치과 신경치료 후 통증, 그냥 넘기면 안 되는 이유 (0) | 2025.10.12 |
| 문정동치과 어금니 통증, 알고 보니 C형 근관? 신경치료 사례 소개 (0) | 2025.10.11 |
| 위례치과 앞니 깨짐, 당일 레진치료로 자연스럽게 복원한 실제 사례 (0) | 2025.10.10 |
| 송파구치과 크라운교체, 하루 만에 완성! (0) | 2025.10.09 |








