겉보기엔 멀쩡해도, 옆면(인접면) 충치는 조용히 진행됩니다. 큐레이 형광 진단기로 조기에 발견하고, 당일 인레이 치료까지 가능한 문정동 오늘하루치과에서 정확한 검진 받아보세요.
안녕하세요,
문정역치과 오늘하루치과입니다 :)
오늘은 겉보기에는 이상 없어 보이지만
속에서 조용히 진행되는 충치,
바로 **“인접면 충치”**에 대해 안내드리려 합니다.

🔍 인접면 충치란?
인접면 우식은 말 그대로
치아와 치아 사이, 옆면에 생기는 충치를 의미합니다.
👀 육안으로는 잘 보이지 않아
- 거울로 봐도 잘 안 보이고
- 칫솔질, 치실로 닦아도
충치 여부를 알아채기 어렵습니다.
그래서 방치되기 쉽고,
발견 시 이미 충치가 진행된 경우가 많습니다.
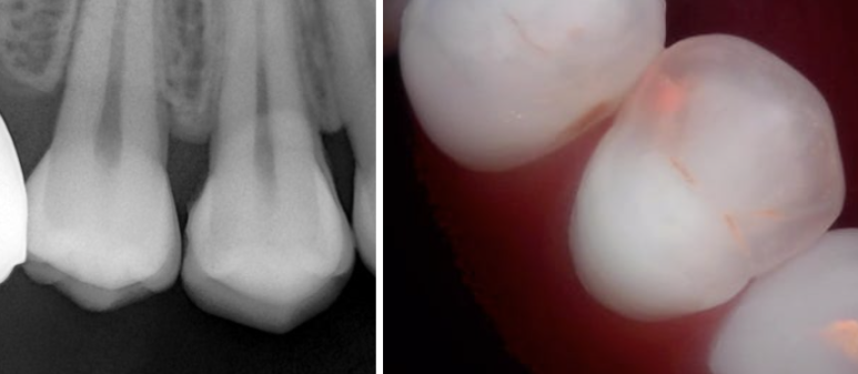
💡 겉은 멀쩡, 속은 썩는 충치
아래 사진은 실제 내원 환자의 예시입니다.

- 겉에서 보면 색 변화 정도만 보여 “충치 맞나요?”라고 물으시지만
- **큐레이(형광 진단기)**로 보면 활성화된 세균 부위가 붉게 빛납니다.
📸 큐레이는
육안이나 엑스레이보다 한발 앞서 충치를 찾아주는 장비로
문정 오늘하루치과의 필수 진단 장비입니다.
📌 문정역치과 큐레이 진단장비로 충치·크랙·세균 정확하게 확인하는 법
문정역치과 큐레이 진단장비로 충치·크랙·세균 정확하게 확인하는 법
문정역 오늘하루치과에서는 큐레이 진단 장비를 통해 눈에 보이지 않는 크랙, 인접면 충치, 세균까지 정확하게 진단합니다. 진단 케이스 및 사용 팁도 함께 확인해보세요. 문정역치과 큐레이 진
smiletodaydent.tistory.com
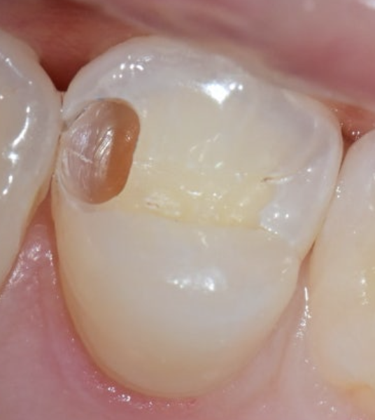
🦷 큐레이 + 디지털 기공 = 당일 인레이 치료
1️⃣ 큐레이로 충치 조기 진단
→ 겉은 멀쩡해 보여도 내부는 부드럽고 갈색으로 변질

2️⃣ 충치 완전 제거→ 아래에 단단한 치질만 남기고,
신경 보호를 위해 MTA or GI 사용
3️⃣ **초음파 기구(소닉라인)**로 정밀 연마→ 옆 치아 손상 없이 인레이 공간 정리
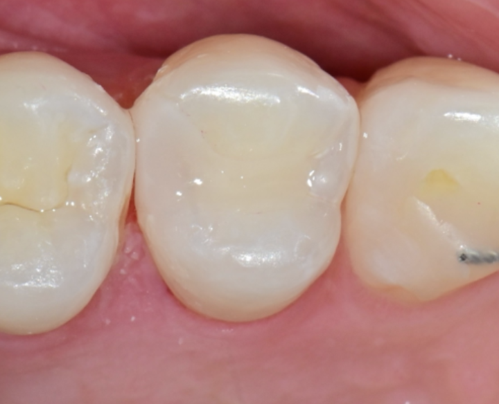
4️⃣ 디지털 스캔 → 당일 인레이 제작
→ 원내 보유 밀링 장비로 약 1시간 이내 제작
→ 임시치아 없이 당일 치료 완료

🦷 치료 후에는
자연치와 구분되지 않을 만큼 깔끔한 결과 + 편안한 저작감까지!
⚠️ 인접면 충치는 빠르게 발견하는 게 핵심!
| 표면만 탈회 | 정기 검진 및 관리로 경과 관찰 |
| 상아질 도달 | 인레이 or 레진 치료 |
| 깊은 우식 | 신경치료, 온레이, 크라운 가능성 |
| 심한 경우 | 발치, 임플란트까지 이어질 수 있음 |
🧪 조용한 충치, 장비로 찾아야 합니다
충치는 아프다고 시작되는 병이 아닙니다.
- 무통 진행 → 발견 시 이미 큰 충치
- 특히 인접면은 육안 관찰 불가 → 큐레이, 엑스레이 필수
✔️ 문정동치과에서 조기 발견하세요
- 🧠 치과는 예방이 가장 중요합니다.
- 🛠️ 문정 오늘하루치과는 디지털 진단 장비 + 원내 제작 시스템으로
정확한 진단과 빠른 치료를 함께 제공합니다.
✔️ 스케일링은 받지만 엑스레이는 오랫동안 안 하셨다면?
✔️ 치아 사이에 불편함이나 불투명한 부분이 느껴지신다면?
지금 바로
큐레이 검진 받으러 오세요.
치아를 지키는 가장 확실한 방법은 조기 발견입니다.
오늘하루치과가 함께하겠습니다 :)
오늘하루치과, 당신의 치아와 시간을 아끼는 치료
안녕하세요, 문정역 현대지식산업센터 B동 2층에 위치한오늘하루치과 대표원장 오기창입니다. 저는 11년차 통합치의학과 전문의로서 여동생인 오윤미 원장과 함께 오늘하루치과를 운영하
smiletodaydent.tistory.com
오늘하루치과는 진심을 담은 편안한 진료를 약속합니다.
아프지 않은 치료, 정확하고 양심적인 치료,
무엇보다 친절한 치료로 오늘 하루
미소짓는 하루가 되도록 최선을 다하겠습니다.
원내 기공소가 있어 당일 혹은 하루만에 치료 가능하며,
월화수목 야간진료를 진행합니다.
방문 전 전화예약 (02-2008-1275) 주시거나
네이버 예약 하고 오시면
좀더 빠르게 진료 가능합니다^^
'오늘하루치과 보철진료' 카테고리의 다른 글
| 위례치과 크라운치료, 인레이 주변 충치 재발? 해결방법은 (0) | 2025.10.14 |
|---|---|
| 문정동치과 신경치료 후 통증, 그냥 넘기면 안 되는 이유 (0) | 2025.10.12 |
| 문정동치과 어금니 통증, 알고 보니 C형 근관? 신경치료 사례 소개 (0) | 2025.10.11 |
| 위례치과 앞니 깨짐, 당일 레진치료로 자연스럽게 복원한 실제 사례 (0) | 2025.10.10 |
| 송파구치과 크라운교체, 하루 만에 완성! (0) | 2025.10.09 |