임플란트 심은 날 바로 임시치아를 쓸 수 있을까요? 문정역 오늘하루치과에서 당일 임시치아의 가능 여부, 적용 조건, 장점과 주의사항까지 정리했습니다.
✔️문정역 임플란트, 당일 임시치아 가능할까?
조건·장점·주의사항 한눈에 정리해드릴게요
안녕하세요,
문정역 오늘하루치과입니다.

임플란트를 고민하시는 분들이 가장 걱정하는 부분은 바로 치아 공백 기간입니다.
“임플란트를 하면 몇 달 동안 이를 못 쓰는 건가요?”
“앞니라서 하루라도 공백이 생기면 곤란한데, 당일 임시치아가 가능할까요?”
오늘은 임플란트 심은 날 임시치아가 가능한 경우와 조건에 대해 자세히 안내드립니다.

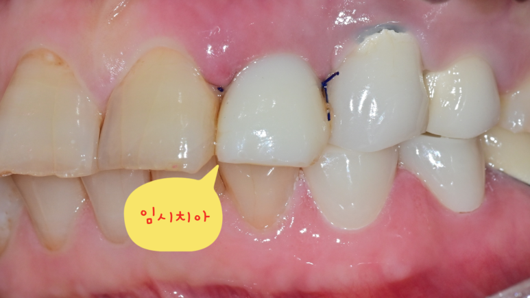
1️⃣ 임시치아의 역할
임시치아는 말 그대로 임플란트 뿌리가 뼈와 결합되기 전까지
심미성과 기능을 대신해주는 가짜 치아입니다.
- 웃거나 말할 때 앞니 공백 가림
- 발음 도움
- 일부 음식 섭취 가능
특히 직업상 외모·발음이 중요한 경우
또는 눈에 띄는 앞니 치료에서 큰 역할을 합니다.
2️⃣ 당일 임시치아, 모든 경우 가능할까?
정답은 아니오입니다.

임플란트 당일 임시치아를 적용하려면
**임플란트가 뼈에 단단히 고정(초기 고정력)**되어야 합니다.
✅ 당일 임시치아 적용 조건
- 잇몸뼈 양과 밀도 충분
- 식립 위치·각도 정확
- CT 분석 시 염증·감염 없음
- 교합(물리는 힘) 과부하 없을 것
- 심미적 필요가 높고, 기능적 부담 적은 부위(특히 앞니)
반면 양쪽 어금니나 교합력이 강한 부위는
임시치아가 오히려 실패 위험을 높일 수 있어 삼가기도 합니다.
3️⃣ 오늘하루치과 당일 임시치아 시스템
문정역 오늘하루치과는
디지털 임플란트 워크플로우를 통해 안전성과 정확성을 높입니다.
- 3D CT + 구강 스캔으로 식립 위치·각도 사전 설계
- 디지털 가이드 수술로 정밀 식립
- CAD/CAM·3D 프린팅으로 당일 임시치아 제작 가능
- 최소 절개·무절개 수술로 회복 부담 최소화
이를 통해 심는 날 바로 말하고 웃을 수 있는 임시치아를 제공합니다.
디지털 보철, 아날로그보다 정말 더 정확할까요?
안녕하세요.송파구 문정동 문정역 인근에 위치한 오늘하루치과 원장 오기창입니다 😊 오늘은 실제로 환자분들께 가장 많이 받는 질문 중 하나,“디지털 보철이 아날로그 보철보다 더 정확한가
smiletodaydent.tistory.com
4️⃣ 당일 임시치아의 장점과 주의사항
✨ 장점
- 심미성 회복 → 외모·발음 걱정 최소화
- 생활 불편 감소 → 빠른 일상 복귀
- 심리적 만족도 높음
✨ 주의사항
- 무리한 임시치아는 골유착 방해·임플란트 실패 위험
- 초기에는 부드러운 음식 위주 섭취 권장
- 정기 점검과 위생 관리 필수
오늘하루치과의 원칙:
빠른 치료보다, 오래 가는 치료를 우선합니다.
🔹 결론

임플란트 심은 날 임시치아는 가능하지만, 환자 상태에 따라 달라집니다.
- 조건 충족 시 → 당일 임시치아 적용
- 안정성 우선 시 → 단계적 접근 권장
문정역 오늘하루치과는
빠르면서도 안전한 디지털 임플란트 치료를 통해
환자분의 심미·기능·안정성을 모두 잡아드립니다.
궁금한 점이 있다면 언제든 편하게 문의 주세요. 😊
오늘하루치과, 당신의 치아와 시간을 아끼는 치료
안녕하세요, 문정역 현대지식산업센터 B동 2층에 위치한오늘하루치과 대표원장 오기창입니다. 저는 11년차 통합치의학과 전문의로서 여동생인 오윤미 원장과 함께 오늘하루치과를 운영하
smiletodaydent.tistory.com
문정역치과 오늘하루치과는
현대지식산업센터 B 동 2층에 위치하고 있습니다.
(A동 1층에 약국이 있는데, 맞은편이 B동 입구입니다)
방문 전 전화예약 (02-2008-1275) 주시거나
네이버 예약 하고 오시면
좀더 빠르게 진료 가능합니다^^
'오늘하루치과 임플란트 및 외과진료' 카테고리의 다른 글
| 송파구 임플란트 언제 받아야 할까? 지금이 적기일 수 있습니다 (2) | 2025.08.15 |
|---|---|
| 송파 임플란트 치과, 건강보험 임플란트 적용 기준 총정리 (4) | 2025.08.14 |
| 문정역 임플란트, 발치 후 언제 심어야 할까? | 즉시 식립·지연 식립 조건 비교 (3) | 2025.08.11 |
| 문정역 임플란트 치료 후 주의사항 | 통증·적응·관리법 총정리 (5) | 2025.08.10 |
| 송파 임플란트 vs 임플란트 틀니(오버덴처) | 선택 기준 총정리 (3) | 2025.08.09 |