치아를 꼭 뽑아야 할까요? 송파구 임플란트 치과 오늘하루치과에서 발치 시점과 임플란트 식립 시기에 대한 정확한 기준을 알려드립니다. 수직 파절, 잇몸질환, 충치 재감염 등 임플란트를 고려해야 하는 상황과 최적의 치료 타이밍을 정리해드립니다.
안녕하세요,
송파구 문정역 인근, 문정현대지식산업센터 B동에 위치한 오늘하루치과입니다.

치아 통증이 반복되거나 흔들리는 치아가 있다면
“혹시 이 치아 뽑아야 하나요?”
“임플란트를 해야 하는 걸까?”
고민하신 적 있으시죠?
치아는 한 번 상실하면 되돌릴 수 없는 만큼
발치와 임플란트 결정은 매우 신중해야 합니다.

오늘은 임플란트를 고려해야 하는 시점,
그리고 어떤 경우에 발치가 불가피한지,
치료 시기를 언제로 잡아야 하는지 자세히 설명드릴게요.
✔️ 이런 경우라면 치아 살리기 어려울 수 있습니다
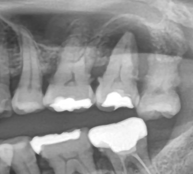
1. 치아가 세로로 금 간 경우 (수직 파절)
![]() |
![]() |
치아가 세로로 갈라지는 ‘수직 파절’은
신경치료를 하더라도 예후가 좋지 않습니다.
금이 간 틈으로 세균이 침투하면
잇몸뼈까지 염증이 퍼지며 결국 발치가 불가피해요.
👉 파절 부위가 잇몸 아래까지 도달한 경우, 빠른 판단이 필요합니다.
2. 심한 잇몸질환으로 치아가 심하게 흔들릴 때
잇몸뼈가 많이 녹아버린 상태라면
스케일링이나 잇몸치료로는 회복이 어렵습니다.
| 발치 전 | 발치 후 염증을 제거 후 뼈이식을 완료했습니다 |
![]() |
![]() |
생활에 지장을 줄 정도로 흔들린다면
치아를 억지로 유지하기보다 임플란트로 대체하는 것이 더 나은 선택일 수 있습니다.
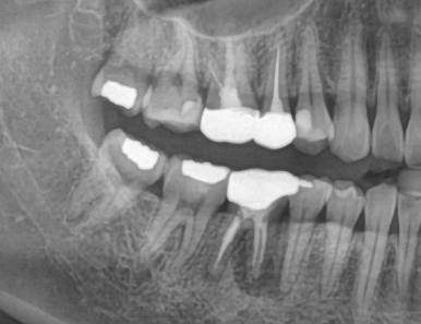
3. 충치가 치근 아래까지 진행된 경우
치아 머리 부분이 거의 남지 않고
충치가 뿌리까지 퍼진 경우엔
보철물로 복원하더라도 기능이 약해 오래 사용하지 못합니다.
![]() |
![]() |
이럴 땐 무리한 치료보다
예후가 좋은 임플란트를 고려해보는 것이 현명합니다.
4. 신경치료 후 통증이 반복되거나 재감염되는 경우
신경치료를 두세 번 받았음에도
통증이 계속 반복되거나 염증이 재발된다면
치아 기능이 이미 한계에 도달한 상태일 수 있습니다.
| 발치 전 | 발치 후 염증제거, 임플란트 식립 |
![]() |
![]() |
이런 경우엔 더 큰 손상을 막기 위해
적절한 시점에 발치 후 임플란트를 계획하는 것이 안전합니다.
✔️ 임플란트는 언제 심는 게 좋을까?
발치를 하게 되면,
잇몸뼈는 빠르게 흡수되기 시작합니다.
뼈가 흡수되면 임플란트 식립이 어려워지고
추가적인 골이식이 필요해질 수 있습니다.
상태에 따라 식립 시점은 3가지로 나뉩니다:
| 즉시 식립 | 발치와 동시에 | 잇몸뼈 보존, 치료기간 단축 |
| 조기 식립 | 발치 후 4~8주 이내 | 염증 안정 후 뼈 유지 |
| 지연 식립 | 수개월 이상 경과 후 | 감염 치료 후, 뼈이식 병행 가능 |
👉 상태에 따라 CT 진단을 통해 가장 안전한 시점을 선택해야 합니다.
🔗 문정역 임플란트, 발치 후 언제 심어야 할까? | 즉시 식립·지연 식립 조건 비교
즉시 식립 vs 지연 식립 차이 자세히 안내드립니다
문정역 임플란트, 발치 후 언제 심어야 할까? | 즉시 식립·지연 식립 조건 비교
발치 후 임플란트를 바로 심어도 될까요? 문정역 오늘하루치과에서 즉시 식립·지연 식립의 차이, 장단점, 조건, 전체 치료 기간까지 자세히 안내드립니다. ☑️문정역 임플란트, 발치 후 언제
smiletodaydent.tistory.com
✔️오늘하루치과의 임플란트 진료 원칙
❌ 불필요한 발치는 절대 하지 않습니다
치아는 한 번 빼면 다시 돌아오지 않습니다.
살릴 수 있는 치아라면 최대한 보존을 우선합니다.
✅ 정밀 진단, 정확한 판단
CT 및 3D스캔을 통해
뿌리 상태, 염증 여부, 뼈 높이 등을 확인합니다.
✅ 뼈 손실 최소화 설계
디지털 분석 기반으로
임플란트 각도·위치·깊이까지 정밀하게 계획합니다.
✔️임플란트는 ‘마지막 선택’이자, ‘좋은 선택’입니다
임플란트는 단지 치아를 심는 치료가 아닙니다.
**자연치아의 기능과 심미성을 회복시켜주는 ‘대체치료의 끝판왕’**이라 할 수 있습니다.
물론 가능한 한 자연치아를 지키는 것이 우선입니다.
하지만 이미 기능을 잃은 치아를 무리하게 유지하면
인접 치아, 잇몸, 전체 구강 건강에 더 큰 손해를 입을 수 있습니다.
✔️결론: 지금의 치아 상태, 전문가 진단부터 받아보세요
- 흔들리는 치아가 있다면?
- 충치가 반복되거나 잇몸이 자주 붓는다면?
- 발치 후 언제 임플란트를 해야 할지 모르겠다면?

👉 망설이지 마시고 정직한 진단부터 받아보세요.
송파구 문정역 오늘하루치과는
환자의 입장에서 판단하고
치료 전 모든 선택지를 충분히 설명드립니다.
🦷 오늘하루치과
👉 치아 하나가 당신의 일상을 바꿀 수 있습니다.
임플란트 고민, 오늘하루치과에서 함께 해결해보세요.

오늘하루치과, 당신의 치아와 시간을 아끼는 치료
안녕하세요, 문정역 현대지식산업센터 B동 2층에 위치한오늘하루치과 대표원장 오기창입니다. 저는 11년차 통합치의학과 전문의로서 여동생인 오윤미 원장과 함께 오늘하루치과를 운영하
smiletodaydent.tistory.com
오늘하루치과는 진심을 담은 편안한 진료를 약속합니다.
아프지 않은 치료, 정확하고 양심적인 치료,
무엇보다 친절한 치료로 오늘 하루
미소짓는 하루가 되도록 최선을 다하겠습니다.
원내 기공소가 있어 당일 혹은 하루만에 치료 가능하며,
월화수목 야간진료를 진행합니다.
방문 전 전화예약 (02-2008-1275) 주시거나
네이버 예약 하고 오시면
좀더 빠르게 진료 가능합니다^^
'오늘하루치과 임플란트 및 외과진료' 카테고리의 다른 글
| 상악동 거상술 꼭 필요할까? 수압 이용 임플란트 케이스로 알아보세요 (3) | 2025.08.17 |
|---|---|
| 문정동 사랑니 발치 꼭 필요할까? 매복사랑니 발치 기준 알려드립니다 (4) | 2025.08.16 |
| 송파 임플란트 치과, 건강보험 임플란트 적용 기준 총정리 (4) | 2025.08.14 |
| 문정역 임플란트, 당일 임시치아 가능할까? | 조건·장점·주의사항 총정리 (3) | 2025.08.12 |
| 문정역 임플란트, 발치 후 언제 심어야 할까? | 즉시 식립·지연 식립 조건 비교 (3) | 2025.08.11 |







