문정동치과에서 알려드리는 사랑니 발치 기준 !
매복사랑니, 통증·충치·염증이 있을 때 발치가 필요한 이유와, 뽑지 않아도 되는 경우까지 정리해드립니다.
안녕하세요,
송파구 문정동 문정역 인근에 위치한
원데이 보철 & 임플란트 중심 치과, 오늘하루치과입니다.

치과 진료 중 자주 듣는 질문 중 하나가 바로
“이 사랑니 꼭 빼야 하나요?”
입니다.
이 질문 속엔
❝혹시 안 뽑아도 되는 건 아닐까?❞
하는 바람부터
수술은 아프지 않을까?
하는 걱정까지 다양한 감정이 담겨 있습니다.
결론부터 말씀드리면
모든 사랑니가 반드시 발치 대상은 아닙니다.

하지만, 문제가 생겼거나 생길 가능성이 높다면
미루지 않고 적절한 시점에 발치하는 것이 훨씬 안전한 선택일 수 있습니다.
✅ 사랑니 발치가 꼭 필요한 5가지 상황
1. 옆으로 누워 난 매복 사랑니
사랑니가 옆 어금니 뿌리를 눌러
충치나 치근 흡수를 유발할 수 있습니다.
| 옆으로 누워나 발치가 필요한 사랑니 | 옆으로 누워난 사랑니를 발치하니, 앞 치아의 충치 발견 |
![]() |
![]() |
🔍 실제 사례: 옆으로 누운 사랑니로 인해
앞 치아에 깊은 충치가 생겨 신경치료까지 필요했던 경우가 있었습니다.
2. 잇몸 밖으로 일부만 나온 사랑니
부분 매복된 사랑니는
음식물과 세균이 쉽게 끼어 잇몸 염증과 통증이 반복될 수 있습니다.
![]() |
![]() |
특히 몸이 피곤할 때 잇몸이 붓고 아프다면,
사랑니 주위에 만성 염증이 있을 가능성이 큽니다.
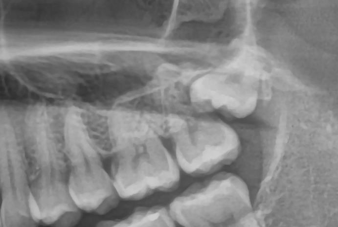
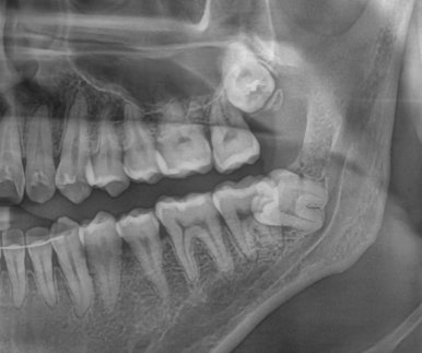
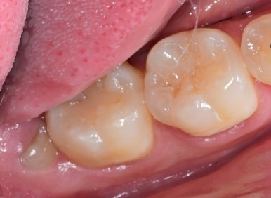
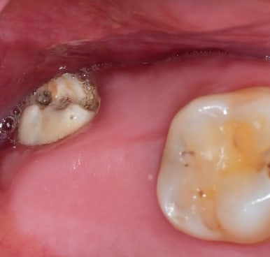
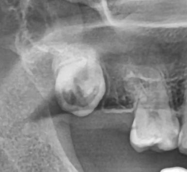
3. 사랑니에 충치가 생긴 경우
| 발치 전 구강사진 | 발치 전 엑스레이 | 발치 후 엑스레이 |
![]() |
![]() |
![]() |
사랑니 위치는 수복 치료가 어렵고,
옆 치아까지 영향을 줄 수 있어 조기 발치를 권합니다.
4. 반복적인 통증이 있는 경우
사랑니 주위가 자주 붓거나,
통증이 반복된다면 더 이상 관찰보다 발치가 안전합니다.
5. 교정 또는 턱 수술을 계획 중일 경우
교정 치료나 구강외과 수술 전후에는
치열 유지에 방해되지 않도록 사랑니를 미리 발치하기도 합니다.
❌ 사랑니, 꼭 뽑지 않아도 되는 경우
사랑니가 곧게 나와 있고, 관리가 잘 되며,
정상적으로 기능하고 있다면 발치를 하지 않아도 괜찮습니다.

다만, 이런 사랑니는 전체 인구의 10~20%에 불과하며
대부분은 매복되어 있거나 관리가 어려운 구조입니다.
⚠️ 매복 사랑니, 더 신중한 판단이 필요합니다
🦷 하악(아랫니) 사랑니
아래턱 뼈 안 깊이 묻힌 사랑니는
신경과 가까운 경우가 많아 CT를 통한 위치 확인이 필수입니다.
이런 경우에는 아래 조건 중 하나라도 해당된다면 발치를 고려합니다:
![]() |
![]() |
- 앞 어금니 뿌리를 누르는 경우
- 주변 염증, 낭종이 동반된 경우
- 통증이 반복되는 경우
🦷 상악(윗니) 사랑니

상악 사랑니가 광대뼈 가까이, 또는 상악동(부비동) 근처에 위치하면
발치 시 상악동 천공 위험이 있을 수 있어
CT 촬영 및 영상 판독 후 수술 계획이 반드시 필요합니다.
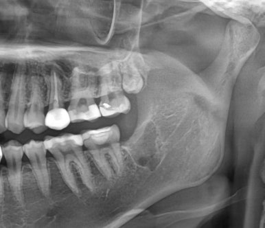
📌 사랑니 발치 실제 사례
최근 내원한 20대 여성 환자분은
좌측 아래 사랑니 부위에 통증이 반복되어 내원하셨습니다.
| 발치 전 | 발치 후 |
![]() |
![]() |
CT 검사 결과,
사랑니는 똑바로 있었지만 맹출 공간이 부족해
기능적 활용이 어려운 상태였고,
결국 발치를 결정하셨습니다.
수술은 국소마취로 약 10분 만에 마무리되었고,
현재는 빠르게 회복 중입니다 😊
🦷 오늘하루치과의 사랑니 발치 진료 원칙

- 무조건 뽑지 않습니다.
각 환자의 구강 구조와 사랑니 위치, 주변 조직을 CT 기반 정밀 진단 후 발치 여부를 결정합니다. - 환자별 맞춤 수술 설계
디지털 X-ray, 3D CT를 통해 신경과 치근 구조를 파악하고
수술 부담을 줄이는 무절개/최소절개 방식도 고려합니다. - 빠른 회복을 위한 사후 관리 제공
수술 후 회복 기간, 약 복용, 식이 지침까지 꼼꼼히 안내드립니다.
✅ 마무리 정리
| 매복 상태 | O (옆으로 누움/부분 노출 등) | X (곧게 맹출, 관리 양호) |
| 염증/통증 | O (반복되는 증상 시) | X (무증상, 병소 없음) |
| 충치 유무 | O (충치 존재 시) | X (정상 기능 시) |
| 교정/턱 수술 예정 | O (사전 조정 필요) | X (계획 無 시) |
사랑니는 ‘빼야 할지 말아야 할지’보다,
‘지금 상태에서 어떤 판단이 가장 안전한가’가 중요합니다.
문정역 오늘하루치과는
영상 진단과 임상 경험을 바탕으로
가장 안전하고 예측 가능한 사랑니 치료를 제공해드립니다.
궁금한 점이 있으시면 언제든 편하게 문의해주세요 😊
오늘하루치과는 진심을 담은 편안한 진료를 약속합니다.
아프지 않은 치료, 정확하고 양심적인 치료,
무엇보다 친절한 치료로 오늘 하루
미소짓는 하루가 되도록 최선을 다하겠습니다.
원내 기공소가 있어 당일 혹은 하루만에 치료 가능하며,
월화수목 야간진료를 진행합니다.
방문 전 전화예약 (02-2008-1275) 주시거나
네이버 예약 하고 오시면
좀더 빠르게 진료 가능합니다^^
'오늘하루치과 임플란트 및 외과진료' 카테고리의 다른 글
| 고령자 임플란트 가능할까요? 85세 환자 치료 사례로 확인하세요 (3) | 2025.08.18 |
|---|---|
| 상악동 거상술 꼭 필요할까? 수압 이용 임플란트 케이스로 알아보세요 (3) | 2025.08.17 |
| 송파구 임플란트 언제 받아야 할까? 지금이 적기일 수 있습니다 (2) | 2025.08.15 |
| 송파 임플란트 치과, 건강보험 임플란트 적용 기준 총정리 (4) | 2025.08.14 |
| 문정역 임플란트, 당일 임시치아 가능할까? | 조건·장점·주의사항 총정리 (3) | 2025.08.12 |











