고령자 임플란트, 80세 이상도 가능할까요? 송파 문정동 오늘하루치과에서 진행한 85세 환자 치료 사례를 통해 고령 임플란트 가능성과 성공 조건을 자세히 안내드립니다.
안녕하세요.
송파구 문정역 오늘하루치과 대표원장 오윤미입니다.

오늘은 많은 분들이 궁금해하시는
“나이가 많은데도 임플란트가 가능할까요?”
라는 질문에 대한 실제 사례를 공유드리려고 합니다.
👵 85세 어르신의 임플란트 치료 이야기
처음 내원하셨을 때,
85세이신 환자분은 이렇게 말씀하셨어요.

"왼쪽 위에 치아가 빠졌는데, 임플란트 할 수 있을까요?"
고령이신 만큼 걱정도 많으셨지만,
치료 의지가 확고하고 전신 건강 상태도 양호했기 때문에
충분히 성공적인 임플란트 치료가 가능한 조건이었습니다.
✅ 임플란트 치료, 나이보다 더 중요한 것들
- 자발적인 내원 가능 여부
- 전신 건강 상태 (지병 여부, 약 복용 등)
- 의사소통 및 치료 의지
- 구강 위생 관리 능력
이러한 요소들이 연령보다 훨씬 중요한 판단 기준입니다.
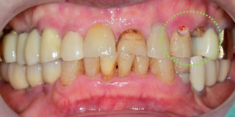
🔍 초기 구강 상태 진단
환자분의 상악 좌측 #24 부위는 이미 치아가 상실된 상태였고,
그 앞쪽 **#23 치아는 잇몸과 맞닿은 부위(치경부)**에


깊은 충치가 진행돼 있었습니다.
단순 충치 치료로는 한계가 있었기 때문에,
다음과 같은 복합 계획을 수립했습니다.
🛠️ 1일 내 진행된 치료 계획
"앞니 쪽이라 임시치아라도 오늘 바로 해주실 수 있을까요?"
라는 요청에 따라,
- #23 치아 치은절제술 + 신경치료 + 포스트 코어
- #23, #24 모두에 임시치아 제작 및 당일 장착
| 전 | 후 |
![]() |
![]() |
👨⚕️ 당일 진행이 가능한 시스템을 통해
환자분께서는 치료 직후부터
자연스럽게 웃고 말할 수 있는 상태로 회복하셨습니다.
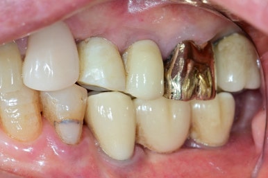
📸 임시치아 착용 1달 후 상태

- 잇몸선이 점차 안정화됨
- 임플란트는 골 유착을 잘 이루며 자리 잡음
- 심미성 회복 → 환자 만족도 매우 높음
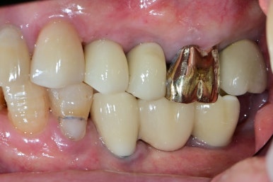
👑 최종 보철물 장착
![]() |
![]() |
치료 완료 후 찍은 사진에서는
잇몸선이 자연스럽고 대칭적이며,
보철물도 주변 치아와 잘 어우러져
기능 + 심미성 모두 만족스러운 결과를 보여줍니다.
🦷 치료 전·후 비교

| 불규칙한 잇몸선, 치아 결손 | 안정된 잇몸선, 자연스러운 보철 복원 |
💬 결론: 나이보다 중요한 건 ‘상태와 의지’
이 사례는 단순한 임플란트 치료가 아닌
기존 치아 보존 + 결손 부위 복원 + 심미 회복까지
복합적으로 진행된 고령자 치료의 대표적인 예입니다.
그리고 무엇보다도,
환자분의 치료에 대한 의지와 협조가
가장 큰 성공 요인이었습니다.
🏥 오늘하루치과의 진료 철학
- 치료는 빠르게, 그러나 정확하게
- 환자의 일상 회복을 우선으로
- 하루라도 불편하지 않도록 임시보철 적극 지원
- 개별 진단 → 맞춤 치료 계획 수립
임플란트가 꼭 필요한 상황인데
"나는 나이가 많아서 안 될 것 같아..."
라고 고민하고 계시다면,
한 번 상담 받아보시길 추천드립니다.
문정역 오늘하루치과는
나이가 아닌 ‘환자 개개인의 상태와 가능성’을 기준으로
정직한 진료를 약속드립니다.
감사합니다 😊
오늘하루치과는 진심을 담은 편안한 진료를 약속합니다.
아프지 않은 치료, 정확하고 양심적인 치료,
무엇보다 친절한 치료로 오늘 하루
미소짓는 하루가 되도록 최선을 다하겠습니다.
원내 기공소가 있어 당일 혹은 하루만에 치료 가능하며,
월화수목 야간진료를 진행합니다.
방문 전 전화예약 (02-2008-1275) 주시거나
네이버 예약 하고 오시면
좀더 빠르게 진료 가능합니다^^
'오늘하루치과 임플란트 및 외과진료' 카테고리의 다른 글
| 문정동 어금니 임플란트, 상악동염 치료 후 상악동 거상술까지 한 번에! (0) | 2025.10.07 |
|---|---|
| 임플란트 후 잇몸 불편감, 재보철로 편안하게 해결한 사례 (문정 오늘하루치과) (0) | 2025.08.19 |
| 상악동 거상술 꼭 필요할까? 수압 이용 임플란트 케이스로 알아보세요 (3) | 2025.08.17 |
| 문정동 사랑니 발치 꼭 필요할까? 매복사랑니 발치 기준 알려드립니다 (4) | 2025.08.16 |
| 송파구 임플란트 언제 받아야 할까? 지금이 적기일 수 있습니다 (2) | 2025.08.15 |



