임플란트 후 잇몸 불편감이나 음식물 끼임이 있다면?
문정역 오늘하루치과에서는 보철물 재제작을 통해 기능과 심미성 모두 개선한 실제 사례를 소개합니다.
안녕하세요, 송파구 문정역에 위치한
오늘하루치과 대표원장 오윤미입니다.

오늘은 임플란트를 이미 식립하신 분께서
잇몸 불편감으로 내원하셨고,
보철물 재제작을 통해 문제를 해소한 실제 케이스를 소개드립니다.
🦷 임플란트 했는데, 왜 잇몸이 불편할까요?
임플란트는 수명이 길고 안정적이지만,
보철물의 모양이나 맞물림 상태에 따라
잇몸에 자극을 줄 수 있습니다.
특히 다음과 같은 경우엔
잇몸 염증이나 음식물 끼임 같은 불편이 생기기 쉽습니다:
- 보철물 형태가 비정상적으로 눌림
- 인접 치아와의 접촉면이 어긋남
- 치은 곡선이 자연스럽지 않음
이럴 땐 빠른 점검과 조정이
장기적인 편안함과 잇몸 건강에 매우 중요합니다.
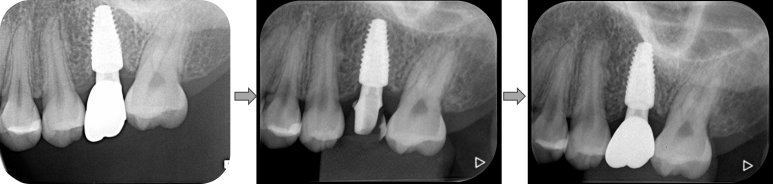
👩⚕️ 케이스 소개: 임플란트 후 잇몸 불편감
환자분은 과거 교정 치료를 받으신 적이 있으셨고,
좌측 위 어금니 부위(#27)는 앞으로 기울어진 상태였습니다.
![]() |
![]() |
그 앞쪽 치아(#26)는 임플란트로 식립된 상태였고,
#26과 #27 사이에 음식물 끼임과 잇몸 불편감을 호소하며 내원하셨습니다.
🔎 초기 진단 결과
- #26 임플란트 보철물의 뒷면이 비정상적으로 눌려있음
- Marginal ridge 높이 차이로 인해 치아 사이 압박 발생
- 보철물과 잇몸 사이에 자극 → 만성 염증 가능성
🛠️ 치료 계획
이러한 문제를 해결하기 위해
다음과 같은 치료 계획을 세웠습니다:
- #27 치아 위치 조정 → 임플란트 보철 공간 확보
- Separation ring 사용 → 인접면 접촉 및 잇몸 공간 정밀 조정
- #26 보철물 재제작 → 둥글고 매끄러운 형태로 개선
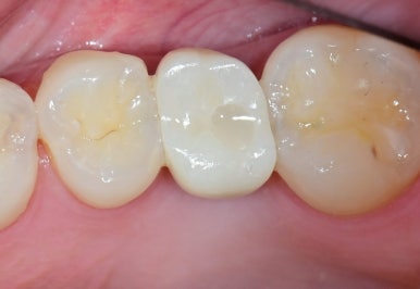
📸 치료 후 Before & After
- 보철물 형태가 자연스러운 곡선으로 회복
- 잇몸 라인이 매끄럽게 정리됨
- 음식물 끼임 및 이물감 해소
- 환자 만족도 매우 높음 😊
| 전 | 후 |
![]() |
![]() |
![]() |
![]() |

특히, 기존에 각지고 눌려 있던 보철물의 뒷면이
새 보철물에서는 부드럽고 잇몸 친화적인 형태로 바뀌었음을
확인할 수 있었습니다.
💬 임플란트 보철물, 형태도 중요합니다

많은 분들이 임플란트를 하면 무조건 오래 쓴다고 생각하시지만,
보철물의 설계가 잘못된 경우 오히려 잇몸에 자극을 줄 수 있습니다.
✅ 단순히 ‘맞는다’가 아니라:
- 형태
- 인접 접촉
- 저작력 분산
- 잇몸 곡선 조화
이 모든 요소가 정밀하게 맞아야 장기적인 편안함을 보장할 수 있습니다.
🔔 이런 증상이 있다면 점검이 필요합니다
- 잇몸이 자주 붓고 아프다
- 음식물이 자꾸 끼인다
- 씹을 때 이물감이 느껴진다
- 임플란트 쪽이 불편하다
→ 임플란트 자체 문제보다는
보철물 형태의 미세한 문제일 가능성이 높습니다.
재보철만으로도 충분히 개선 가능하니
전문적인 진단을 받아보시는 것을 추천드립니다.
🏥 문정 오늘하루치과는 이렇게 진료합니다
- 디지털 스캔 + 3D 진단으로 정밀 분석
- 기존 임플란트 상태부터 보철물 위치까지 면밀히 체크
- 필요 시 재보철로 기능 + 심미성 회복
- 환자의 불편을 우선 고려하는 맞춤 치료
임플란트를 오래 잘 사용하려면
초기 식립도 중요하지만,
보철물의 형태와 유지 관리도 정말 중요합니다.
문정역 오늘하루치과에서는
불편을 공감하고, 정밀하게 해결하는 진료를 지향합니다.
감사합니다 😊
오늘하루치과는 진심을 담은 편안한 진료를 약속합니다.
아프지 않은 치료, 정확하고 양심적인 치료,
무엇보다 친절한 치료로 오늘 하루
미소짓는 하루가 되도록 최선을 다하겠습니다.
원내 기공소가 있어 당일 혹은 하루만에 치료 가능하며,
월화수목 야간진료를 진행합니다.
방문 전 전화예약 (02-2008-1275) 주시거나
네이버 예약 하고 오시면
좀더 빠르게 진료 가능합니다^^
'오늘하루치과 임플란트 및 외과진료' 카테고리의 다른 글
| 문정동치과 앞니 깨짐, 임플란트와 레진으로 심미성까지 회복한 사례 (0) | 2025.10.13 |
|---|---|
| 문정동 어금니 임플란트, 상악동염 치료 후 상악동 거상술까지 한 번에! (0) | 2025.10.07 |
| 고령자 임플란트 가능할까요? 85세 환자 치료 사례로 확인하세요 (3) | 2025.08.18 |
| 상악동 거상술 꼭 필요할까? 수압 이용 임플란트 케이스로 알아보세요 (3) | 2025.08.17 |
| 문정동 사랑니 발치 꼭 필요할까? 매복사랑니 발치 기준 알려드립니다 (4) | 2025.08.16 |





