앞니가 치근까지 깨졌다면 단순 보존은 어렵습니다.
문정동 오늘하루치과에서는 발치 즉시 임플란트와 인접 치아 레진 수복으로
심미성과 기능을 동시에 회복한 케이스를 소개합니다.
안녕하세요.
송파구 문정역에 위치한 오늘하루치과 대표원장 오윤미입니다.

앞니는 웃을 때, 말할 때, 음식을 자를 때
가장 눈에 띄는 치아이자 기능적으로도 중요한 부위입니다.
그래서 조금만 깨지거나 손상돼도 심미적, 심리적 부담이 큰데요.
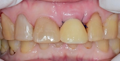
오늘은 #21 앞니가 치근까지 파절되어
임플란트 치료가 불가피했던 환자분의 케이스를 소개해 드리겠습니다.
인접 치아(#22)에는 레진 수복까지 함께 진행하여
전체적인 앞니 라인의 조화까지 고려했습니다.
🦷 앞니 깨짐, 단순히 보기 안 좋은 문제일까요?
내원 당시 환자분은
“앞니가 부러져서 너무 불편하고 보기 싫다”며
심미적인 불편함과 식사, 발음 문제까지 호소하셨습니다.

검사 결과 #21 앞니는 치근 아래까지 파절이 있었고,
보존이 어려운 상태로 판단되어 발치를 결정했습니다.
🔩 발치 후 임플란트 + 임시치아로 빠른 회복
치조골이 손상되지 않도록 즉시 임플란트를 식립하고,
같은 날 **임시치아(프로비저널)**도 장착했습니다.


- 잇몸과 뼈 라인을 최대한 보존
- 외형 유지
- 빠른 심미 회복으로 생활 불편 최소화
🎨 인접 치아(#22)의 형태 비대칭 → 레진 수복으로 개선
임시치아 장착 후 확인해보니,
인접 치아 #22의 크기가 상대적으로 좁아
비대칭이 눈에 띄었습니다.

그래서 #22 치아의 근심 쪽을 레진으로 정교하게 수복하여
앞니 전체 라인의 조화를 맞췄습니다.
이처럼 심미적인 완성도를 위해선
주변 치아 형태까지 고려한 치료가 중요합니다.
🦷 약 10주 후, 최종 보철 완료
약 2개월 반 동안 임플란트 부위의 잇몸과 뼈가 안정된 후,
최종 보철물로는 지르코니아 크라운을 선택했습니다.

✔️ 내구성과 심미성을 모두 만족
✔️ 주변 치아 색상과 자연스럽게 어울림
치료가 마무리된 후 환자분께서
“다시 원래 치아로 돌아간 것 같다”며
크게 만족해주셨습니다.
⚠️ 앞니 파절, 방치하지 마세요
앞니는 기능보다 외형에 먼저 신경이 쓰이는 치아입니다.
하지만 파절을 방치하면
👉 잇몸, 치조골 손실
👉 복잡한 보철 치료
👉 심한 경우 임플란트도 어려워질 수 있습니다.
빠른 시일 내 정확한 진단과 치료가
예후를 결정짓는 핵심입니다.
📍 문정동치과에서 앞니 심미치료, 이렇게 진행됩니다
✅ 3D CT 촬영 및 구강 스캔
✅ 발치 여부 및 임플란트 가능성 정밀 분석
✅ 임시치아 즉시 장착 (심미 불편 최소화)
✅ 인접 치아 형태까지 고려한 심미 설계
✅ 지르코니아 크라운으로 최종 보철 완성
앞니 깨짐으로 고민 중이시라면,
기능과 심미성, 모두 만족할 수 있는 치료를 받으셔야 합니다.
📌깨진 앞니, 레진으로 자연스럽게! 문정역 심미치료 이야기
깨진 앞니, 레진으로 자연스럽게! 문정역 심미치료 이야기
앞니가 깨지거나 우식으로 까맣게 변했다면, 간단한 레진 치료만으로 자연스러운 회복이 가능합니다. 문정역 오늘하루치과의 실제 케이스로 자세히 알려드립니다. 😁 깨진 앞니, 레진으로 자
smiletodaydent.tistory.com
문정동 오늘하루치과는
환자의 얼굴과 미소를 고려한 심미보철 전문 진료를 통해
일상으로 빠르게 복귀할 수 있도록 도와드리고 있습니다.
감사합니다. 😊
오늘하루치과, 당신의 치아와 시간을 아끼는 치료
안녕하세요, 문정역 현대지식산업센터 B동 2층에 위치한오늘하루치과 대표원장 오기창입니다. 저는 11년차 통합치의학과 전문의로서 여동생인 오윤미 원장과 함께 오늘하루치과를 운영하
smiletodaydent.tistory.com
오늘하루치과는 진심을 담은 편안한 진료를 약속합니다.
아프지 않은 치료, 정확하고 양심적인 치료,
무엇보다 친절한 치료로 오늘 하루
미소짓는 하루가 되도록 최선을 다하겠습니다.
원내 기공소가 있어 당일 혹은 하루만에 치료 가능하며,
월화수목 야간진료를 진행합니다.
방문 전 전화예약 (02-2008-1275) 주시거나
네이버 예약 하고 오시면
좀더 빠르게 진료 가능합니다^^
'오늘하루치과 임플란트 및 외과진료' 카테고리의 다른 글
| 문정역치과 임플란트, 오래 쓰려면 ‘보철물 형태’부터 다릅니다 (0) | 2025.11.05 |
|---|---|
| 문정동 사랑니 발치, 꼭 뽑아야 할까요? 상황별 정리 (0) | 2025.11.01 |
| 문정동 어금니 임플란트, 상악동염 치료 후 상악동 거상술까지 한 번에! (0) | 2025.10.07 |
| 임플란트 후 잇몸 불편감, 재보철로 편안하게 해결한 사례 (문정 오늘하루치과) (0) | 2025.08.19 |
| 고령자 임플란트 가능할까요? 85세 환자 치료 사례로 확인하세요 (3) | 2025.08.18 |