임플란트를 심는 것도 중요하지만, 그 위에 얹는 보철물의 형태가 잇몸 건강에 직접적인 영향을 준다는 사실, 알고 계셨나요? 문정역치과 오늘하루치과에서는 임플란트를 단순한 식립이 아닌, 형태 설계까지 포함한 ‘완성도 높은 치료’로 안내해드립니다.
안녕하세요.
문정역치과 오늘하루치과 대표원장 오윤미입니다.

오늘은 많은 분들이 간과하기 쉬운
**‘임플란트 보철물의 형태’**에 대해 이야기해보려고 합니다.
🦷 임플란트 오래 쓰고 싶다면? 형태부터 살펴야 합니다
임플란트는 심는 것 자체보다
그 위에 얹는 보철물의 형태가
장기적인 사용에 더 큰 영향을 줄 수 있습니다.
잇몸이 자주 붓거나, 피가 나고,
불편한 느낌이 지속되는 경우
임플란트가 문제가 아니라 보철물 형태가 원인인 경우도 많습니다.
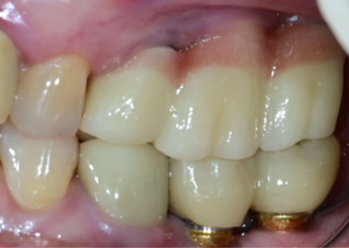
📍 실사례: “왼쪽 위가 계속 아파요… 다시 해야 할까요?”
최근 한 환자분이
“왼쪽 위 임플란트가 계속 불편하고 아파요”
라고 내원하셨습니다.
엑스레이와 구강 사진을 확인해보니,
![]() |
![]() |
![]() |
- 보철물이 과도하게 볼록한 형태
- 치간공극이 닫혀 있어 세정 불가
- 잇몸 안쪽에 플라그 다량 축적
이런 구조는 아무리 양치를 잘 해도
청결 유지가 어렵고, 결국 잇몸 염증을 유발합니다.
🔍 건강한 임플란트 보철의 조건

✅ 자연치와 유사한 곡선
- 교두정과 변연융선이 부드럽게 연결
- 치간공극이 열려 있어 잇몸이 숨쉴 공간 확보


✅ 트랜스뮤코잘(Transmucosal) 설계 고려
- 잇몸 아래 지대주는 안쪽으로 살짝 들어가야 플라그가 덜 침착
- 잇몸 위쪽은 완만한 경사로 자연스럽게 연결되어야 붓지 않음
🛠️ 오늘하루치과의 보철 설계 방식
저희 문정오늘하루치과에서는
임플란트를 ‘심는 것’에만 집중하지 않습니다.
수술 전 CT 분석 → 식립 → 형태 설계 → 제작까지
한 흐름으로 연결된 치료를 진행합니다.
📌 내부 기공실 보유 = 설계 & 피드백 실시간
![]() |
![]() |
![]() |
- 디지털 스캔 → 디자인 → 밀링까지 원내 제작
- 작은 곡선 하나까지 꼼꼼히 피드백 가능
🦷 형태를 바꿨더니, 잇몸이 회복되었습니다

보철물의 형태를 조정하고 나서
붓던 잇몸이 빠르게 회복된 환자분도 계십니다.
단순히 잇몸 치료를 반복하는 것이 아니라,
근본 원인인 ‘보철물 형태’를 조정함으로써
잇몸이 편안해지고 건강을 되찾은 사례였습니다.
🌿 마무리하며
임플란트를 오래 쓰는 법?
“형태 설계에서 시작됩니다.”
문정역치과 오늘하루치과는
잇몸이 오랫동안 건강하게 유지될 수 있는
과학적이고 세심한 설계를 지향합니다.
당신의 잇몸,
당신의 임플란트,
디자인에서 달라질 수 있습니다.
궁금하시다면 언제든지 상담받아보세요 😊
오늘하루치과, 당신의 치아와 시간을 아끼는 치료
안녕하세요, 문정역 현대지식산업센터 B동 2층에 위치한오늘하루치과 대표원장 오기창입니다. 저는 11년차 통합치의학과 전문의로서 여동생인 오윤미 원장과 함께 오늘하루치과를 운영하
smiletodaydent.tistory.com
오늘하루치과는 진심을 담은 편안한 진료를 약속합니다.
아프지 않은 치료, 정확하고 양심적인 치료,
무엇보다 친절한 치료로 오늘 하루
미소짓는 하루가 되도록 최선을 다하겠습니다.
원내 기공소가 있어 당일 혹은 하루만에 치료 가능하며,
월화수목 야간진료를 진행합니다.
방문 전 전화예약 (02-2008-1275) 주시거나
네이버 예약 하고 오시면
좀더 빠르게 진료 가능합니다^^
'오늘하루치과 임플란트 및 외과진료' 카테고리의 다른 글
| 문정동 임플란트 AS, 가장 많이 묻는 질문 TOP5 (0) | 2026.04.03 |
|---|---|
| 문정치과 발치 즉시 임플란트 가능한 경우는? 실제 케이스 공개 (1) | 2026.03.26 |
| 문정동 사랑니 발치, 꼭 뽑아야 할까요? 상황별 정리 (0) | 2025.11.01 |
| 문정동치과 앞니 깨짐, 임플란트와 레진으로 심미성까지 회복한 사례 (0) | 2025.10.13 |
| 문정동 어금니 임플란트, 상악동염 치료 후 상악동 거상술까지 한 번에! (0) | 2025.10.07 |





