신경치료 후에도 어금니가 아프다면? 발치 즉시 임플란트로 빠르게 회복한 실제 치료 사례를 통해 해결 방법을 알려드립니다.
발치 즉시 임플란트, 어금니 통증 심할 때 해결 방법은?
(#37 임플란트 치료 사례)
안녕하세요 :)
문정동 오늘하루치과입니다.

“씹을 때 찌릿하게 아파요”
“신경치료 했는데 또 아파요…”
이런 통증으로 내원하시는 분들, 생각보다 많습니다.
특히 어금니에서 느껴지는
👉 날카로운 통증은
일상생활을 정말 힘들게 만들죠.
오늘은 실제로
👉 신경치료 후 재발한 염증으로 발치 → 즉시 임플란트까지 진행한 사례를
쉽게 설명드리겠습니다.

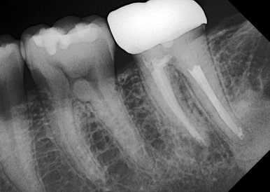
🦷 왜 신경치료한 치아가 다시 아플까요?
이번 환자분은
왼쪽 아래 어금니 (#37)에
👉 강한 통증을 느끼고 내원하셨습니다.
검사 결과,
✔ 이미 신경치료 + 크라운 치료가 되어 있었고
✔ 치아 뿌리 끝에 큰 염증이 형성된 상태였습니다
![]() |
![]() |
👉 이런 경우는 흔히
**“재발성 치근단 염증”**이라고 합니다.
❗ 재신경치료 vs 발치, 어떤 선택이 맞을까?
이 상황에서 선택지는 2가지입니다.
1️⃣ 재신경치료
- 성공률이 낮음
- 치료 기간 길어짐
- 예후 불확실
2️⃣ 발치 후 임플란트
- 확실한 문제 해결
- 통증 원인 제거
- 장기적으로 안정적
👉 환자분과 충분한 상담 후
발치 후 임플란트 치료를 선택했습니다.
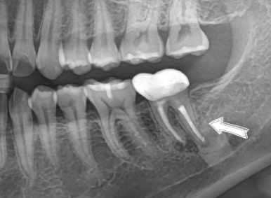
💡 치료 전략: 발치 즉시 임플란트
보통은 치아를 뽑고
👉 2~3개월 기다린 뒤 임플란트를 심습니다.
하지만 이번 케이스는 달랐습니다.
CT 분석 결과
✔ 잔존 뼈 상태 양호
✔ 신경 위치 안전
✔ 초기 고정 확보 가능
![]() |
![]() |
👉 그래서
**발치와 동시에 임플란트 식립 (즉시 임플란트)**을 진행했습니다.
✅ 발치 즉시 임플란트 장점
✔ 치료 기간 단축 (2~3개월 이상)
✔ 잇몸뼈 흡수 최소화
✔ 자연스러운 잇몸 형태 유지
✔ 마취 횟수 감소 → 부담 ↓
👉 조건만 맞으면 매우 효율적인 치료 방법입니다.
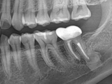
🦷 사용 임플란트: 메가젠 블루다이아몬드
이번 케이스에서는
👉 메가젠 블루다이아몬드 임플란트를 사용했습니다.
✔ 높은 강도
✔ 빠른 골유착
✔ 어금니처럼 힘 많이 받는 부위에 적합
![]() |
![]() |
👉 특히 저작력이 강한 부위에서
안정성이 뛰어난 제품입니다.
🔍 디테일 포인트 (이게 결과를 만듭니다)
임플란트 치료에서 중요한 건
👉 “작은 디테일”입니다.
이번 케이스에서는
✔ 위쪽 치아가 내려오는 것을 방지
→ 정출 방지 고정술 시행
👉 이 과정을 통해
최종 보철 공간을 안정적으로 유지했습니다.
🦷 보철 단계 (3개월 후)
임플란트 식립 후
👉 3개월 동안 골유착을 기다립니다.
이후
✔ ISQ 측정 (고정력 확인)
✔ 맞춤형 지대주 제작
✔ 최종 크라운 장착
![]() |
![]() |
✔ 적용된 보철 방식
- Custom Abutment (맞춤 지대주)
→ 음식물 끼임 최소화 - SCRP 크라운
→ 유지보수 용이 + 안정성 확보
🎯 치료 결과 (6개월 후)

✔ 임플란트 안정적 유지
✔ 통증 완전히 해소
✔ 음식물 끼임 없음
✔ 정상적인 식사 가능
👉 환자분 만족도 매우 높은 케이스였습니다 😊
💬 이런 분들은 꼭 확인하세요
✔ 신경치료 했는데 다시 아픈 경우
✔ 씹을 때 찌릿한 통증이 있는 경우
✔ 어금니 통증이 계속 반복되는 경우
| 전 | 후 |
![]() |
![]() |
👉 이 경우는 단순 문제가 아니라
뿌리 염증일 가능성이 높습니다
✨ 마무리
어금니 통증은 참기보다
👉 정확한 진단이 가장 중요합니다
문정동 오늘하루치과는
✔ CT 기반 정밀 진단
✔ 전문의 협진
✔ 상황에 맞는 최적 치료 를 통해
👉 자연치아 보존부터 임플란트까지
가장 안전한 선택을 도와드립니다
궁금하신 점이 있다면
편하게 문의 주세요 😊

오늘하루치과, 당신의 치아와 시간을 아끼는 치료
안녕하세요, 문정역 현대지식산업센터 B동 2층에 위치한오늘하루치과 대표원장 오기창입니다. 저는 11년차 통합치의학과 전문의로서 여동생인 오윤미 원장과 함께 오늘하루치과를 운영하
smiletodaydent.tistory.com
오늘하루치과는 진심을 담은 편안한 진료를 약속합니다.
아프지 않은 치료, 정확하고 양심적인 치료,
무엇보다 친절한 치료로 오늘 하루
미소짓는 하루가 되도록 최선을 다하겠습니다.
원내 기공소가 있어 당일 혹은 하루만에 치료 가능하며,
월화수목 야간진료를 진행합니다.
방문 전 전화예약 (02-2008-1275) 주시거나
네이버 예약 하고 오시면
좀더 빠르게 진료 가능합니다^^
'오늘하루치과 임플란트 및 외과진료' 카테고리의 다른 글
| 문정동 임플란트 AS, 가장 많이 묻는 질문 TOP5 (0) | 2026.04.03 |
|---|---|
| 문정역치과 임플란트, 오래 쓰려면 ‘보철물 형태’부터 다릅니다 (0) | 2025.11.05 |
| 문정동 사랑니 발치, 꼭 뽑아야 할까요? 상황별 정리 (0) | 2025.11.01 |
| 문정동치과 앞니 깨짐, 임플란트와 레진으로 심미성까지 회복한 사례 (0) | 2025.10.13 |
| 문정동 어금니 임플란트, 상악동염 치료 후 상악동 거상술까지 한 번에! (0) | 2025.10.07 |









