신경치료를 받았던 치아가 다시 아프다면? 무조건 발치 전, 재신경치료 가능한 케이스인지 확인해보세요. 송파 문정역 오늘하루치과에서 알려드립니다 !
송파 재신경치료 치과, 자연치아 살릴 수 있을까?
가능한 경우 총정리
안녕하세요,
문정역 오늘하루치과 통합치의학과 전문의 오기창입니다.

☑️ 다시 아픈 신경치료 받은 치아, 발치해야 할까요?

한밤중 갑작스러운 치통에 잠 못 이루고,
더욱 당황스러운 건 이미 신경치료를 받았던 치아라는 사실.
“이 치아, 이제 뽑아야 하는 걸까?”
“신경치료 받았는데 왜 또 아프지?”
실제로 신경치료(근관치료)를 받은 치아라도
시간이 지나면서 염증이 재발하거나
예상치 못한 통증이 다시 생기는 경우가 있습니다.

이때 고려해볼 수 있는 치료가 바로
**재신경치료 (Re-Endodontic Treatment, 리엔도)**입니다.
☑️ 재신경치료 성공률, 낮기만 할까요?
흔히 “재신경치료 성공률은 낮다”고 알려져 있지만,
사실은 치아 상태에 따라 성공 가능성이 오히려 더 높아질 수도 있습니다.

특히 다음과 같은 경우엔
재신경치료의 성공 확률이 매우 높은 편입니다.
문정동 치과 재신경치료(Re-Endo), 자연치아 살릴 수 있을까요? 실제 치료 사례로 알려드려요
문정동치과 재신경치료(Re-Endo)는 신경치료 후에도 통증이 지속될 때 자연치아를 살릴 수 있는 마지막 방법입니다. 실제 치료 사례를 통해 리엔도의 효과를 알려드립니다. 안녕하세요,송파구 문
smiletodaydent.tistory.com
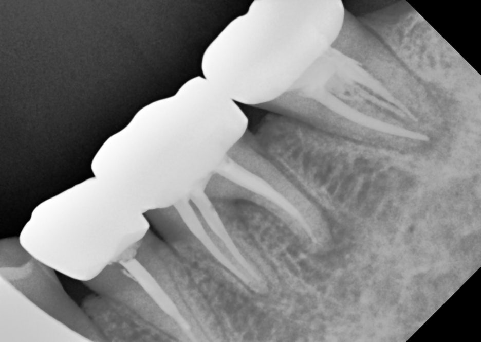
1. 신경관을 놓친 경우 (미싱 캐널, Missing Canal)
![]() |
![]() |
모든 치아 뿌리에는 한 개 이상의 **신경관(근관)**이 존재합니다.
특히 작은 어금니나 대구치에는 두 개 이상의 신경관이 존재할 수 있어요.
✅ 첫 치료 시 신경관을 놓쳤다면?
➡️ 해당 신경관에서 염증이 재발할 수 있습니다.
➡️ CT 등 정밀 검사로 미처 발견하지 못한 신경관을 찾아내면,

재신경치료로 회복 가능성 높음!
이런 경우는 오히려 명확한 원인을 찾을 수 있어
재치료의 예후가 긍정적입니다.
2. 신경관 충전이 불충분했던 경우
신경치료의 핵심은 **“완벽한 밀봉”**입니다.
단순히 공간을 채우는 게 아니라
뿌리 끝까지 밀봉해 세균 침투를 막아야 합니다.
✅ 충전이 뿌리 끝까지 도달하지 못한 경우
➡️ 충전 길이가 짧거나, 밀봉이 제대로 되지 않으면
➡️ 세균이 다시 번식하며 염증 유발
엑스레이 상에서 확인되는 충전 길이가
치근의 절반에도 못 미치는 경우라면
재신경치료가 꼭 필요합니다.


이 경우 역시 재처치만 잘 이루어진다면
자연치아를 보존할 가능성이 매우 높습니다.
☑️ 재신경치료, 꼭 필요한 경우는?
- 신경치료 후에도 지속적인 통증이 있는 경우
- 치아 잇몸 부위에 고름이 나는 경우 (누공 형성)
- 엑스레이에서 충전 부족이 보이는 경우
- 미처 확인하지 못한 신경관이 의심되는 경우
- 기존 치료 이후 수년이 지났고 증상이 재발한 경우
☑️ 리엔도(Re-Endo), 어렵지만 불가능하지 않다
재신경치료는 처음보다
더 정밀한 진단과 섬세한 치료가 필요합니다.
하지만 기술 발전 덕분에
이전보다 높은 정확도로 치료가 가능합니다.
- 미세현미경(Microscope) 사용
- CBCT(3D CT 촬영)로 신경관 위치 정확히 파악
- 최신 니켈티타늄 기구를 활용한 세밀한 제거 및 소독
과거에 놓쳤던 부분들을 제대로 해결할 수 있기 때문에
재신경치료가 오히려 더 효과적일 수 있습니다.
☑️치료 시기, 더 늦기 전에 결정하세요
염증이 뿌리 끝까지 퍼지면
잇몸뼈 손상과 치아 주변 조직 괴사로 이어질 수 있습니다.
따라서 통증이 심하지 않더라도,
정기적인 검진과 빠른 판단이 중요합니다.
☑️ 마무리하며 – 자연치아를 지키는 마지막 기회일 수 있습니다
재신경치료는 단순한 재처치가 아닙니다.
자연치아를 살릴 수 있는 마지막 기회가 될 수도 있죠.
✅ 이전 치료에서 놓쳤던 부분을 보완할 수 있다면
✅ 기술적으로 더 정밀한 처치가 가능하다면
자연치아를 발치하지 않고도 다시 사용할 수 있습니다.
"문정역 신경치료 치과에서 말하는 최소침습 신경치료, MTA 펄포토미란?"
"신경치료, 꼭 신경을 완전히 제거해야 할까요? 치아를 살리는 방법, MTA 펄포토미!문정역 오늘하루치과에서 최소침습 신경치료에 대해 소개합니다." 안녕하세요.문정동 장지역 인근, 현대지식산
smiletodaydent.tistory.com
📌 송파, 문정동에서 재신경치료가 가능한 치과를 찾고 계신다면
문정역 오늘하루치과에서 정확한 진단과 상담을 받아보세요.
여러분의 자연치아를 끝까지 지켜드리겠습니다.

오늘하루치과, 당신의 치아와 시간을 아끼는 치료
안녕하세요, 문정역 현대지식산업센터 B동 2층에 위치한오늘하루치과 대표원장 오기창입니다. 저는 11년차 통합치의학과 전문의로서 여동생인 오윤미 원장과 함께 오늘하루치과를 운영하
smiletodaydent.tistory.com
오늘하루치과는 진심을 담은 편안한 진료를 약속합니다.
아프지 않은 치료, 정확하고 양심적인 치료,
무엇보다 친절한 치료로 오늘 하루
미소짓는 하루가 되도록 최선을 다하겠습니다.
원내 기공소가 있어 당일 혹은 하루만에 치료 가능하며,
월화수목 야간진료를 진행합니다.
방문 전 전화예약 (02-2008-1275) 주시거나
네이버 예약 하고 오시면
좀더 빠르게 진료 가능합니다^^
'오늘하루치과 치주치료진료' 카테고리의 다른 글
| 문정역 오늘하루치과 TBI, 잇몸 건강은 칫솔질 교육부터 시작됩니다 (2) | 2025.08.25 |
|---|---|
| 가락시장역 치과 | 신경치료 후 주의사항 총정리! 통증·관리법 한 번에 정리해드립니다 (4) | 2025.08.24 |
| 파크하비오치과 스케일링 후 주의사항 총정리 | 시린 치아, 식사 가능할까? (3) | 2025.08.22 |
| 수서역 치과 / 잇몸염증 증상별 치료법 총정리! 구내염부터 치주염까지 알아보기 (2) | 2025.08.21 |
| 문정동 치과 재신경치료(Re-Endo), 자연치아 살릴 수 있을까요? 실제 치료 사례로 알려드려요 (0) | 2025.08.20 |

